« Volver atrás

Varón de 49 años con disnea de dos semanas de evolución

Imagen Principal
Presenta:
Berrío Alejandro - Cavallo Francina
Sin foto
Discusión a cargo:
Álvarez, María Victoria; Realini, Melisa.
Sin foto

Enfermedad actual: Consulta por un cuadro de 2 semanas de evolución caracterizado por tos seca y disnea progresiva clase funcional 2. Además en las últimas 24 horas presentó un único episodio de hemoptisis leve.

Al interrogatorio dirigido refiere haber consultado en múltiples ocasiones en otro nosocomio donde le indicaron tratamiento con amoxicilina/clavulánico, el cual realizó por 7 días. Por no presentar mejoría clínica, se modificó su tratamiento a claritromicina junto con levofloxacina por 5 días más. Por persistencia del cuadro clínico decide consultar en nuestro hospital.

Niega fiebre, vómitos, diarrea, hematuria, disuria u otra signo-sintomatología asociadas.

Antecedentes personales

  • Enfermedades del adulto: Niega
  • Internaciones previas: Niega
  • Antecedentes Traumáticos: Niega
  • Antecedentes Quirúrgicos: Niega
  • Antecedentes Alérgicos: Niega alergias medicamentosas.
  • Medicación habitual: 
    • Refiere consumo habitual de esteroides anabólicos indicados por “asesor deportivo” en gimnasio al cual acude. Refiere inicio en septiembre del 2024 con estanozolol vía oral, el cual realiza hasta marzo del 2025. A partir de dicha fecha continua con dianabol (no recuerda dosis), que suspende hace 2 meses. Actualmente, se encuentra realizando drostanolona propionato 100 mg por semana intramuscular y enantato de testosterona 250 mg/semanal intramuscular. Además, consume esporádicamente clembuterol, asociado a posible diurético (no recuerda nombre ni dosis del fármaco).
    • Semaglutide 1 mg semanal.
  • Vacunación: refiere calendario completo, inició esquema con primera dosis de hepatitis B
  • Hábitos tóxicos: Niega tabaquismo, consumo de alcohol y otras drogas. 

Antecedentes familiares:

Madre: Fallecida por tromboembolismo de pulmón, sin más datos. 

Hermano: fallecido a los 35 años por muerte súbita. Antecedente de diagnóstico de miocardiopatía dilatada diagnosticada a los 30 años en contexto de debut de insuficiencia cardíaca con sospecha de ser secundaria a miocarditis aguda, sin más datos. En dicha internación, complica con ACV isquémico de etiología embólica (diagnóstico de trombos endocavitarios en VI). 


Examen físico:

  • Impresión general: Buen estado general. 
  • Signos vitales: TA 130/90  mmHg, FC 70 lpm, FR 20  rpm, T° 36.4 ºC, SatO2 96 % (0.21) 
     
Peso: 79 kgAltura: 175 cmIMC: 25.8
  • Piel: sin alteraciones pigmentarias, sin cicatrices.
  • Cabeza: Ojos: conjuntivas rosadas, escleras blancas. Movimientos oculares no dolorosos. Fosas nasales: permeables sin secreciones ni epistaxis. Puntos sinusales negativos. Cavidad bucal: mucosas húmedas. Lengua central sin lesiones.
  • Cuello: cilíndrico, simétrico, no se palpan adenopatías ni tiroides. Sin ingurgitación yugular. ni reflujo hepatoyugular, Pulsos carotídeos simétricos, sin soplos.
  • Tronco: diámetro anteroposterior normal, sin cicatrices. Columna: sonora, indolora. Puño-percusión: negativa bilateral. 
  • Aparato Respiratorio: respiración costo abdominal, sin utilización de músculos accesorios, reclutamiento abdominal, tiraje intercostal/supraclavicular, ni aleteo nasal. Expansión de bases y vértices conservada. Excursión de bases conservadas. Sonoridad conservada. Murmullo vesicular conservado, sin ruidos agregados. Presenta buena entrada bilateral de aire con rales crepitantes a nivel medio-basal de ambos campos pulmonares
  • Aparato Cardiovascular: ritmo cardíaco regular, ruidos cardíacos normofonéticos, sin soplos ni R3/R4.
  • Abdomen: abdomen plano, sin estigmas de circulación colateral ni cicatrices. Blando, depresible e indoloro. Sin visceromegalias. Timpanismo conservado. Traube libre Ruidos hidroaéreos conservados. 
  • Neurológico: Vigil, orientado en tiempo, espacio y persona. Lenguaje: nomina y repite. Comprende: comandos y órdenes complejas. Pupilas: isocóricas reactivas y simétricas. Movimientos oculares externos: completos. Pares craneales: impresionan conservados. Reflejos osteotendinosos: positivos en los miembros evaluados. Sensibilidad: táctil superficial conservada. Coordinación: sin alteraciones. Respuesta plantar: indiferente bilateral. Hoffman: negativo bilateral. Marcha: conservada. Sin signos meníngeos.
  • Extremidades: Superiores: Tono, trofismo y movilidad conservados. Pulsos conservados. Sin edema ni adenopatías. Inferiores: Tono, trofismo y movilidad conservados. Homans y Ollows negativos. Sin edemas ni adenopatías.
  • Región Perineal y genital: No evaluado


Exámenes Complementarios: 


 

Laboratorio:Dia 0Dia 1Dia 3Dia 4
Hemoglobina (g/dL)16.116.616.816
Hematocrito (%)46504947
VCM (fl)81.284.7--
HCM (pg)28.328.2--
Glóbulos blancos (/mm)146101119093907560
Neutrófilos (%)-736758
Eosinófilos (%)-257
Basófilos (%)-011
Linfocitos (%)-171823
Monocitos (%)-7911
Plaquetas (/mm)385000359000295000285000
Glicemia (mg/dl)1091219488
Urea (mg/dl)42323641
Creatinina (mg/dl)1.131.051.381.26
Sodio (mEq/l)131137144139
Potasio (mEq/I)3.213.503.653.42
Cloro (mEq/l)95101106100
Calcio (mg/dL)-8--
Fósforo (mg/dL)-2.9--
Magnesio (mg/dL)-2.0--
pH7.35--7.4
pCO2 (mmHg)42.5--41.8
pO2 (mmHg)28.8--34.1
Exceso de base (mmol/L)-2.2--0.8
HCO3 (mmol/L)23.3--25.6
SatO2 (%)46.3--61.7
Ácido láctico (mmol/L)4.28--2.07
Bilirrubina total (mg/dL)1.10-0.960.95
TGO (UI/L)32-3331
TGP (UI/L)47-5457
FAL (UI/L)43-3835
GGT (UI/L)49-5148
Amilasa (UI/L)60-89105
Proteínas totales (g/dL)5.8-6.0-
Albúmina (g/dL)3.3-3.3-
CPK (UI/L)386-12592
LDH (UI/L)267-359318
VES (mm/1° hora)8-15-
PCR (mg/L)22.5-48.3-
TP (seg)--15.2-
KPTT (seg)--30-
Uricemia (mg/dl)--3.03.9
  • Tasa de filtrado glomerular estimado (TFGe) MDRD (Dia 0): 69,0-83,6 ml/min/m2 sup
  • Electrocardiograma 12 derivaciones (Dia 0): ritmo sinusal, FC 115 lpm, eje cardíaco -10°  intervalo PR 0.16 seg, segmento QRS 0.10 seg, intervalo QT 0.44 seg. SCI, SAD.
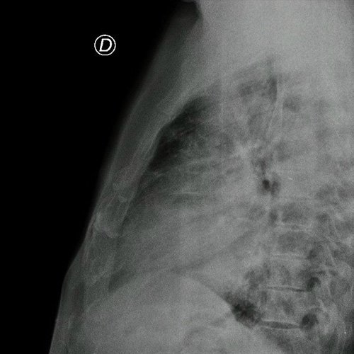
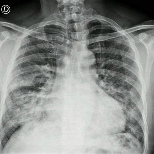
  • Radiografía de tórax frente/perfil (Dia 0): rotada, bien inspirada,  índice cardiotorácico impresiona conservado , se observa infiltrado parenquimatoso a nivel medio basal de campo pulmonar derecho e izquierdo,   senos costofrénicos impresionan libres..
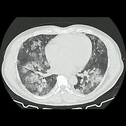
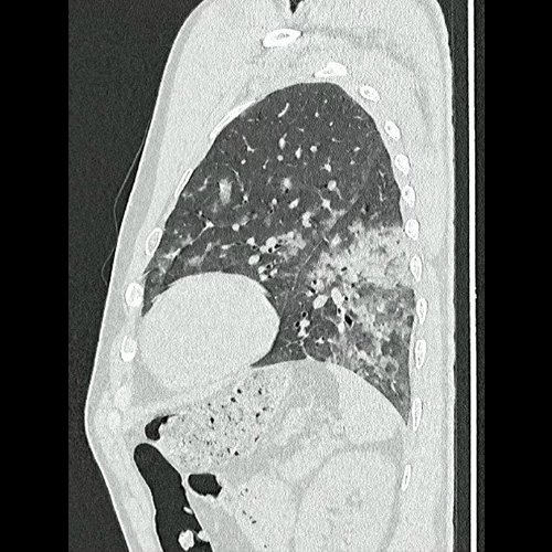
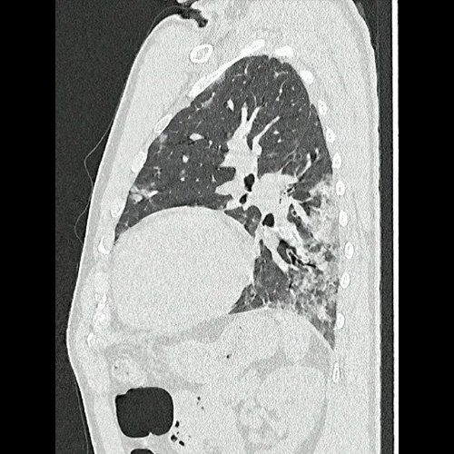
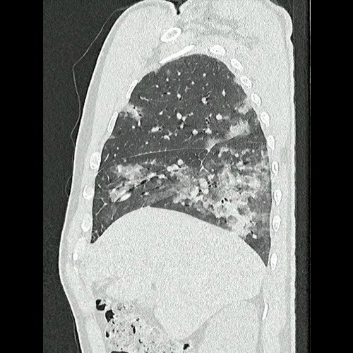
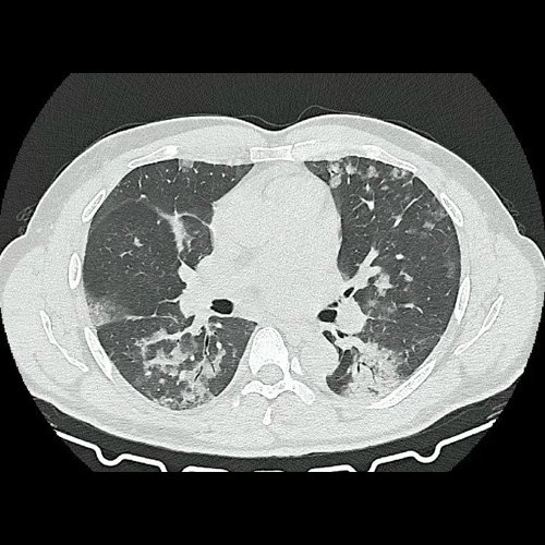
  • Tomografía de tórax sin contraste endovenoso (Dia 0):Se observan múltiples áreas de consolidación parenquimatosa con broncograma aéreo y de distribución difusa por ambos pulmones, predominando en los lóbulos inferiores, asociadas a engrosamiento de los septos y rodeadas de tenue vidrio esmerilado. Se identifican estructuras ganglionares lateroaórticas, pretraqueales y subcarinales, ninguna de ellas sin alcanzar rango megálico.
  • Pro BNP (dia 0): 1108 pg/ml.
  • Serologías VIH, VHB, VHC VDRL (Dia 0): No reactivas.
  • Factor Reumatoideo (Dia 0): 8.7 Ul/ml .
  • Tirotrofina plasmatica (TSH) (Dia 0): 3.41 μUl/ml.  (0.27-4.20).
  • Tiroxina sérica total (T4) (Dia 0): 6.5 μg/dl. (0.93-1.70).
  • Complemento (Dia 0):     C3: 115 mg/dl (103-145)      C4: 15 mg/dl (20-50)
  • Anticuerpos antinucleares (FAN) (Dia 0): Negativo.
  • Anticuerpos antiproteinasa 3 (Dia 0): Negativo.
  • Anticuerpos anti Mieloperoxidasa (Dia 0):Negativo.
  • Serologías (Mycoplasma pneumoniae- Chlamydia pneumoniae) (Dia 0): No reactiva
  • Orina completa (Dia 0): Color amarillo claro, Aspecto limpido, Densidad 1016 PH urinario 6.5, Proteinuria 0.06 g/l, Glucosuria 0.27 g/l, Cetonuria No detectable, Pigmentos biliares No detectable, Urobilinas Normal, Hemoglobinuria No detectable, Hematies urinarios (x campo de 400x) 2-3, Leucocitos (x campo de 400 x) 0-1, Piocitos (x campo de 400x) No se observan, Celulas epiteliales(x campo de 400x) 0-1, Cilindros (x campo de 400x) No se observan. Índices urinarios:

 

Creatinina (mg/dl)53.86
Proteinuria (g/l)0.06
Índice proteinuria/creatininuria111.4
Glucosuria en orina aislada0.27
  • Hisopado nasofaríngeo (SARS CoV2, VSR, Influenza A/B) (Dia 0 ): Negativo.
  • ANCA (Dia 1): Negativo.
  • Anti Jo1 (Dia 1): Negativo.
  • Ecocardiograma doppler transtorácico (Dia 2): Ventrículo izquierdo dilatado moderado, hipertrofia moderada septal y anterior, de menor jerarquía en los demás segmentos, deprimida FEY 35%. Masa 339 gr. Se observa trombo de 1.6 x 1.9 cm de diámetro en el segmento septoapical de escasa movilidad. Aurícula izquierda dilatada moderada. Ventrículo derecho de dimensiones normales índices de función sistólica conservados, Aurícula derecha de dimensiones normales, Ecogramas valvulares sin alteraciones de apertura. Raíz aórtica de dimensiones normales. Pericardio con mínimo derrame. Vena cava inferior de dimensiones normales con colapso inspiratorio conservado. Estudio Doppler: Mitral: flujo de velocidad máxima normal, función diastólica restrictiva E/E 35, insuficiencia mitral moderada. Aórtico: flujo de morfología y velocidad máxima normal sin reflujo. Tricuspídeo: flujo de morfología y velocidad máxima normal reflujo mínimo. Pulmonar: flujo de morfología y velocidad máxima normal sin reflujo. 
  • Electrocardiograma 12 derivaciones (Dia 3): ritmo sinusal, FC 110 lpm, eje cardíaco 0 °  intervalo PR 0.16 seg, segmento QRS 0.10 seg, intervalo QT 0.43 seg, sobrecarga de cavidades izquierdas, extrasístoles ventriculares y supraventriculares aisladas.
  • Perfil del hierro (Dia 3):
Hierro (60-160 ug/dl)41
TIBC (228-428 mg/dl)326
% saturación Transferrina (20-55%)12.6
Ferritina (15-150 ng/ml)59.5
  • Troponina T ultrasensible (Dia 3): 37.24 pg/ml (<14.00).
  • Procalcitonina (Dia 3): 0.21 ng/ml (0.01-0.10).
  • Pro BNP (Dia 3): 546 pg/ml (20-125).
  • Dosaje de Dimero D (Dia 3): 1507 ng/ml (150-500).
  • HbA1c (Dia 3): 6.0% (4.0-5.6).
  • Lipoproteina lipasa (Dia 3): 5.9 nmol/L (0.0-75.0)
  • Tirotrofina plasmatica (TSH) (Dia 3): 3.91 μUl/ml. (0.27-4.20).
  • Tiroxina sérica total (T4) (Dia 3): 1.26 μg/dl. (0.93-1.70).
  • Serología (Trypanosoma cruzi) (Dia 3): No reactivo
  • Ecocardiograma transtorácico (Dia 3): ventrículo izquierdo dilatado en grado leve. Hipertrofia concéntrica. Índice de masa 212 g/m2 de superficie corporal. Hipocontractilidad global severa, más marcada en segmentos apicales y medios. FSVI global deprimida en grado severo, FEVI 25%. Strain global longitudinal reducido: -5%. Se aprecian masas hiperecogénicas intracavitarias, adheridas al miocardio de los segmentos apicales (a nivel septal y anterior) con escasa movilidad, con ecocontraste espontáneo a su alrededor, lo que sugiere etiología trombótica de las mismas. Además presenta masa hiperecogénica móvil entre el trabeculado de los segmentos anterolateral medial (posiblemente correspondan a misma etiología). Aurícula izquierda dilatada en grado leve. Volumen de 37 ml/m2 de superficie corporal. Ventrículo derecho de dimensiones normales. Aurícula derecha de dimensiones normales. Área de 13 cm2. Ecogramas valvulares sin alteraciones. Apertura y cierre normales. La válvula aórtica es trivalvar. Conclusiones: Miocardiopatía dilatada con incremento de la masa y deterioro severo de la función sistólica del ventrículo izquierdo. Disfunción diastólica con aumento de las presiones de llenado. Masas hipoecogénicas intracavitarias que se interpretan como trombos en primera instancia. Se sugiere completar con resonancia cardiaca para mayor caracterización tisular. 

 

  • Perfil del hierro (Dia 4):
     
Hierro (60-160 ug/dl)70
TIBC (228-428 mg/dl)322
% saturación Transferrina (20-55%)21.8
Ferritina (15-150 ng/ml)58.8
  • Troponina T ultrasensible (Dia 4): 33.76 pg/ml (<14.00).

Evolución: inicialmente cursa internación para estudio de neumopatía bilateral. Por no poder descartar desencadenante infeccioso, realizó tratamiento antibiótico empírico con piperacilina-tazobactam y claritromicina durante 5 días, sin aislamiento en cultivos. Fue evaluado por equipo de neumonologia, y se decide en conjunto realizar laboratorio inmunológico.

Por presentar en electrocardiograma de ingreso criterios de sobrecarga ventricular izquierda, se realiza ecocardiograma en el cual se evidencia deterioro severo de la función sistólica del ventrículo izquierdo asociado a múltiples masas móviles a nivel intracavitario compatible con trombos, por lo que se interna en conjunto con Servicio de Cardiología para estudio de miocardiopatía dilatada y se inicia tratamiento con diuréticos y anticoagulación con enoxaparina.

Al 3 er día de internación presenta  a nivel del dedo anular derecho dolor leve asociado a cianosis distal, disminución de la temperatura local y sensibilidad. Se da aviso al Servicio de Cardiología, Hemodinamia y Cirugía Vascular, quienes mantienen conducta expectante, continuando con anticoagulación previamente instaurada. 

Evoluciona hemodinámicamente estable, con mejoría de disnea tras tratamiento antibiótico y diurético, sin signos de bajo gasto ni de hipoperfusión al examen físico. 


Pendientes: 

  • Cultivo de micobacterias.
  • Informe de cardio resonancia.
  • Eventual Cinecoronariografia. 




 


 

No hay información de la discusión.

No hay información de la evolución.

Radiografía de tórax frente y perfil

Radiografía de tórax frente y perfil

Radiografía de tórax frente y perfil

Radiografía de tórax frente y perfil

Tomografia de torax sin contraste endovenosos (Ventana pulmonar-corte axial)

Tomografia de torax sin contraste endovenosos (Ventana pulmonar-corte axial)

Tomografia de torax sin contraste endovenosos (Ventana pulmonar-corte axial)

Tomografia de torax sin contraste endovenosos (Ventana pulmonar-corte axial)

Tomografia de torax sin contraste endovenosos (Ventana pulmonar-corte axial)

Tomografia de torax sin contraste endovenosos (Ventana pulmonar-corte axial)

Tomografia de torax sin contraste endovenosos (Ventana pulmonar- Corte coronal)

Tomografia de torax sin contraste endovenosos (Ventana pulmonar- Corte coronal)

Tomografia de torax sin contraste endovenosos (Ventana pulmonar- Corte coronal)

Tomografia de torax sin contraste endovenosos (Ventana pulmonar- Corte coronal)

Tomografia de torax sin contraste endovenosos (Ventana pulmonar- Corte coronal)

Tomografia de torax sin contraste endovenosos (Ventana pulmonar- Corte coronal)

Tomografia de torax sin contraste endovenosos (Ventana pulmonar- Corte coronal)

Tomografia de torax sin contraste endovenosos (Ventana pulmonar- Corte coronal)

Tomografía de tórax sin contraste endovenosos (Ventana pulmonar- corte sagital)

Tomografía de tórax sin contraste endovenosos (Ventana pulmonar- corte sagital)

Tomografía de tórax sin contraste endovenosos (Ventana pulmonar- corte sagital)

Tomografía de tórax sin contraste endovenosos (Ventana pulmonar- corte sagital)

Tomografía de tórax sin contraste endovenosos (Ventana pulmonar- corte sagital)

Tomografía de tórax sin contraste endovenosos (Ventana pulmonar- corte sagital)

Fotografías de dedo anular derecho

Fotografías de dedo anular derecho

Fotografías de dedo anular derecho

Fotografías de dedo anular derecho

Fotografías de dedo anular derecho

Fotografías de dedo anular derecho