« Volver atrás

Neutropenia en paciente varón con esferocitosis hereditaria

Imagen Principal
Presenta:
Didier, Paula - Lacosta, Paula
Sin foto
Discusión a cargo:
Arce, Aneley - Carlson, Damián
Sin foto

Enfermedad actual: 

Varón de 34 años comienza con registros febriles de 8 días de evolución asociado a astenia, gingivitis y gingivorragia. Por dicho cuadro consulta al hospital de Asunción (ciudad de origen) donde se detecta neutropenia en laboratorio y cursa internación durante 6 días. En la misma realizó vancomicina y ceftazidima empírica durante su estadía sin aislamiento en cultivos y tratamiento con filgrastim sin respuesta, continuando con norfloxacina vía oral durante 2 días más (8 días totales de antibioticoterapia), evolucionando afebril en las últimas 72 hs. Posteriormente, solicita el alta voluntaria y se traslada por sus propios medios a nuestro hospital.

En este contexto, continuando con episodios aislados de gingivorragia y gingivitis, afebril, acude al consultorio externo del servicio de hematología del Hospital Provincial del Centenario, quienes lo derivan para internación en sala general. 

Al interrogatorio dirigido, niega síntomas respiratorios, genitourinarios, gastrointestinales, cutáneos y otros asociados

Antecedentes personales

  • Procedencia: Paraguay, Asunción.
  • Ocupación: DJ-Vendedor de cigarrillos electrónicos
  • Enfermedades del adulto:
  • Esferocitosis hereditaria (línea materna).
  • Esplenectomía en diciembre de 2024.
  • COVID leve 2020. Convalecencia prolongada.
  • Dengue leve 2024.
  • Carcinoma basocelular de tipo superficial o multicéntrico 08/2024 en región supra clavicular izquierda (extirpación con márgenes libres, sin más datos).
  • Internaciones previas: 
  • Internación 2019: por 10 días por cuadro de crisis hemolítica en contexto de parvovirosis (detección sanguínea) en Asunción (Paraguay) con requerimiento transfusional.
  • Internación en octubre de 2024: en Asunción (Paraguay) por cuadro de pancitopenia, neutropenia febril severa, y aspergilosis (diagnóstico por PCR) por lo que realizó tratamiento con anfotericina B liposomal + ceftazidima/Avibactam + meropenem + Vancomicina. Complicaciones: farmacodermia liquenoide y púrpura cutánea no inflamatoria - Enterocolitis por E. coli enteropatógena - Derrame pleural bilateral y peritoneal pelviano - Mucositis - Adenopatías retroperitoneales. IgG positiva para VEB y Parvovirus, con IgM Negativa para ambos. Requirió transfusión de unidades de glóbulos rojos y plaquetas.
  • Internación en noviembre de 2024: en Hospital Provincial del Centenario, por aplasia medular con sospecha de ser secundaria a reactivación de parvovirus B19, por lo que realizó infusión de gammaglobulina y terapia con G-CSF con buena respuesta. Por no poder descartar etiología autoinmune realizó tratamiento inmunosupresor transitorio con ciclosporina, el cual fue suspendido debido a toxicidad renal y hepática. Presentó como complicación neutropenia febril sin foco claro, por lo que completó tratamiento antibiótico empírico vancomicina y meropenem por 10 días. 
  • Internación en diciembre de 2024: Se realizó esplenectomía programada a cargo del servicio de Cirugía General cursando postoperatorio en Unidad de Terapia Intensiva por 7 días, en Hospital Provincial del Centenario.
  • Antecedentes Traumáticos: niega.
  • Antecedentes Quirúrgicos: 
  • Postectomía por fimosis parcial Septiembre de 2024. 
  • Esplenectomía programada en diciembre de 2024. 
  • Colecistectomía en mayo de 2025 (programada)
  • Antecedentes Familiares: esferocitosis hereditaria hermano y madre
  • Antecedentes Alérgicos: niega alergias medicamentosas.
  • Medicación habitual: Ácido fólico 5 mg/día vía oral ,Vitamina B12 1 mg/día vía oral. 
  • Vacunación: Antigripal trivalente anual, Meningocócica B, Neumocócica 20 Valente 2 dosis, Triple bacteriana acelular, Antimeningocócica cuadrivalente 2 dosis,  SarsCov2, HIB, Hepatitis B 2 dosis.
  • Hábitos tóxicos: ex fumador de vapeo, abandonó hace 2 meses.


Antecedentes familiares:

Padre: sano

Madre: esferocitosis hereditaria

Hermanas/os: 1 hermano esferocitosis hereditaria


Exámenes complementarios previos:

  • Punción aspiración de médula ósea (09/24): Médula ósea con gran hiperplasia de la serie roja, en todos sus estadios madurativos. Ausencia de serie granulocítica. Médula compatible con Agranulocitosis severa. PCR negativa para CMV, VEB, Parvovirus, Trypanosoma Cruzi, Leishmania, micobacterias atípicas y TBC
  • Biopsia de médula ósea (10/24): MO hipercelular 75% con aplasia de la serie granulocítica. Marcada hiperplasia de la serie roja y megacariocítica en número normal/alto y con atipia en el 10%. Posible actividad hemofagocítica leve. 
  • Ecografía abdominal completa (09/24): Higado: bordes regulares, tamaño aumentado mide 185 mm en DL con hipertrofia del lóbulo caudado. Parênquima de ecoestructura con ecogenicidad ligeramente aumentada. No se observó dilatación de las vías intra y extrahepáticas. La vena porta mide 14 mm en diámetro anteroposterior, presenta flujo hepatópeto y velocidades conservadas de 22 cm/s. No se observó dilatación de la vena esplénica. Bazo: de tamaño aumentado mide 210 mm en DL.
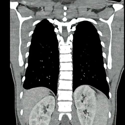
  • TAC de Tórax (23/10/24): Escaso derrame pleural bilateral. No se visualiza imagen sugerente de Neumopatía.
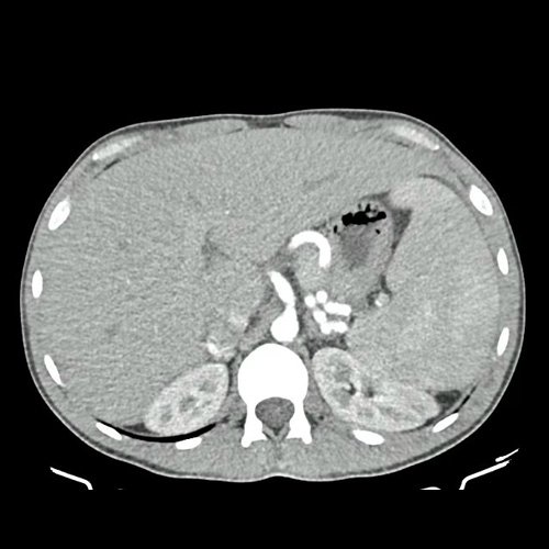
  • TAC de abdomen y pelvis (22/11/24): Hepatoesplenomegalia. Adenopatías retroperitoneales. Moderada cantidad de líquido libre en la cavidad abdominal.
  • Cuantificación de hierro hepático (22/11/24): se observa una concentración de hierro de 59 micromoles/grs (para un valor normal menor de 20 micromoles/grs), lo cual determina un depósito de hierro moderado a nivel hepático.
  • Laboratorio (12/11/25): Beta 2 microglobulina 2.1 mg/dl, Toxoplasmosis IgG e IgM no reactivo, Trypanosoma cruzi IgG e IgM no reactivo, CMV IgG 87, IgM0.23. VHA IgG reactivo, IgM no reactivo, VHC no reactivo, VHB anti core no reactivo. PCR: trypanosoma, leishmaniasis, VEB, parvovirus negativos.


Examen físico:

  • Impresión general: Buen estado general. 
  • Signos vitales: TA 120/70  mmHg, FC 74  lpm, FR 14 rpm, T°36.2 ºC, SatO2 98% (0.21) 
  • Piel: sin alteraciones pigmentarias, cicatriz lineal supraclavicular (ver antecedentes).
  • Cabeza: Ojos: conjuntivas rosadas, escleras blancas. Movimientos oculares no dolorosos. Fosas nasales: permeables sin secreciones ni epistaxis. Puntos sinusales negativos. Cavidad bucal: mucosas húmedas. Lengua central sin lesiones. Gingivitis.
  • Cuello: cilíndrico, simétrico, no se palpan adenopatías ni tiroides. Sin ingurgitación yugular. Pulsos carotídeos simétricos, sin soplos.
  • Tronco: diámetro anteroposterior normal, sin cicatrices. Mamas: sin nódulos ni depresiones, ni secreción por pezón. Columna: sonora, indolora. Puño-percusión: negativa bilateral. 
  • Aparato Respiratorio: respiración costo abdominal, sin utilización de músculos accesorios, reclutamiento abdominal, tiraje intercostal/supraclavicular, ni aleteo nasal. Expansión de bases y vértices conservada. Excursión de bases conservadas. Sonoridad conservada. Murmullo vesicular conservado, sin ruidos agregados.
  • Aparato Cardiovascular: ritmo cardíaco regular, ruidos cardíacos normofonéticos, sin soplos ni R3/R4.
  • Abdomen: abdomen plano, sin estigmas de circulación colateral, cicatriz quirúrgica en hipocondrio izquierdo secundario a esplenectomía sin secreción ni signos de flogosis. Blando, depresible e indoloro. Sin visceromegalias. Timpanismo conservado. Traube libre Ruidos hidroaéreos conservados. 
  • Neurológico: Vigil, orientado en tiempo, espacio y persona. Lenguaje: nómina y repite. Comprende: comandos y órdenes complejas. Pupilas: isocóricas reactivas y simétricas. Movimientos oculares externos: completos. Pares craneales: impresionan conservados. Reflejos osteotendinosos: positivos en los miembros evaluados. Sensibilidad: táctil superficial conservada. Coordinación: sin alteraciones. Respuesta plantar: indiferente bilateral. Hoffman: negativo bilateral. Marcha: conservada. Sin signos meníngeos.
  • Extremidades: Superiores: Tono, trofismo y movilidad conservados. Pulsos conservados. Sin edema ni adenopatías. Inferiores: Tono, trofismo y movilidad conservados. Homans y Ollows negativos. Sin edemas ni adenopatías.
  • Región Perineal y genital: sin lesiones perianales, esfínter tónico, ampolla rectal. Testículos en bolsas sin lesiones. Escroto sin lesiones. Pene sin lesiones ni secreción por meato.


Exámenes Complementarios: 


 

Laboratorio:Día 0Día 3Día 4
Hemoglobina (g/dL)14.112.612.7
Hematocrito (%)383635
VCM (fl)85.691.389.3
HCM (pg)32.132.132.4
Glóbulos blancos (/mm)551048603690
Neutrófilos (%)000
Eosinófilos (%)322
Basófilos (%)434
Linfocitos (%)726975
Monocitos (%)212518
Plaquetas (/mm)228000192000183000
Reticulocitos  (%)5.6--
Glicemia (mg/dl)-8385
Urea (mg/dl)301819
Creatinina (mg/dl)1.071.091.18
Sodio (mEq/l)134142137
Potasio (mEq/I)3.774.184.15
Cloro (mEq/l)96106100
Calcio (mg/dL)9.19-
Fósforo (mg/dL)-3.8-
Magnesio (mg/dL)22-
Bilirrubina total (mg/dL)1.35-2.33
TGO (UI/L)62--
TGP (UI/L)66--
FAL (UI/L)175--
GGT (UI/L)72--
LDH (UI/L)238--
VES (mm/1° hora)3-9
PCR (mg/L)6.7-8.1
TP (seg)--17.5
KPTT (seg)--41
Fibrinógeno (mg/dl)--290
  • Frotis en sangre periférica (Día 1):leucocitos 4000, 480 neutrófilos , plaquetas 140.000.
  • Perfil de hierro (Día 1): ferremia 208 µg/d (VN: 59-195), Capacidad total de fijación de hierro (TIBC) 314 µg/d (VN: 228 - 428), % saturación de transferrina 66.3% (VN: 20.0 - 55.0) ferritina 2892.1 ng/ml (30.0 - 400.0). Reticulocitos 5.6% (VN: 0.3 - 2.0), Hemoglobina reticulocitaria 33.5 pg, Fracción de reticulocitos inmaduros 1.8% (VN: 3.00 - 15.90).
  • Electrocardiograma 12 derivaciones (Día 1): ritmo regular y sinusal, FC 80 lpm, eje cardíaco conservado,  intervalo PR 0.06 seg, segmento QRS 0.08 seg, intervalo QT  seg.
  • IgM dengue en sangre (Día 2): no reactivo
  • Punción aspirativa de médula ósea - PAMO (Día 2): bloqueo y aplasia de serie granulocítica asociado a una serie roja hiperplásica.
  • PCR citomegalovirus en PAMO (Día 2): no detectable
  • PCR Parvovirus PAMO (Día 2): detectable
  • Hisopado anal de vigilancia (Día 3): no detectable.
  • Perfil inmunológico (Día 3):  FR 7.6 UI/ml ( VN 4-14), C3 114 mg/dl (VN  103-145), C4 31 mg/dl (VN 20-50). FAN negativo, ANCA negativo.
  • Proteinograma por electroforesis (Día 3): proteínas totales 7.30 g%, albúmina 4 g%, Alpha 1 globulinas 0.26 g%, Alpha 2 macroglobulina 0.60 g%, Beta 1 haptoglobina 0.45 g%, Beta 2 transferrina 0.36 g%, Gamma/Inmunoglobulinas 1.66 g%. Aumento policlonal de inmunoglobulinas. 
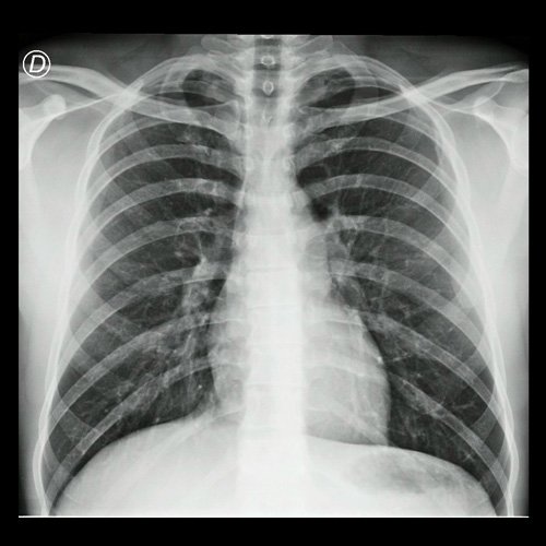
  • Radiografía de tórax frente (Día 3): centrada, índice cardiotorácico conservado , senos costofrénicos libres. Sin consolidaciones pleuroparenquimatosas.
  • Hemocultivos dos muestras (Día 4): negativos en curso.
  • Urocultivo (Día 4): negativos en curso.
  • Hisopado para ETI y COVID (Día 4): no reactivo.


Evolución: 

Ingresa para estudio de neutropenia afebril, sin otra citopenia asociada.

El día 1 de internación se realiza Punción Aspiración de Médula Ósea, en donde se solicitó PCR para Parvovirus B19 que resultó detectable. 

Por observarse bloqueo y aplasia de serie granulocítica asociado a serie roja hiperplásica se decidió comenzar con Gammaglobulina G endovenosa durante 2 días y filgrastim subcutáneo.

Durante el día 3 presentó un registro febril, asociado eritema en sitio de punción sin otro síntoma agregado, por lo que se toman hemocultivos se inicia vancomicina y piperacilina tazobactam de forma empírica. Se encuentra en seguimiento en conjunto con el servicio de infectología y hematología.

Pendientes: 

  • Hemocultivos
  • Cultivo de Médula Ósea
  • Anatomía patológica de médula ósea

No hay información de la discusión.

No hay información de la evolución.

TAC de tórax corte coronal y axial previas (23/10/24)

TAC de tórax corte coronal y axial previas (23/10/24)

TAC de tórax corte coronal y axial previas (23/10/24)

TAC de tórax corte coronal y axial previas (23/10/24)

TAC de abdomen corte axial previas 22/11/24

TAC de abdomen corte axial previas 22/11/24

 Electrocardiograma Día 1

Electrocardiograma Día 1

 Electrocardiograma Día 1

Electrocardiograma Día 1

 Electrocardiograma Día 1

Electrocardiograma Día 1

 Electrocardiograma Día 1

Electrocardiograma Día 1

Radiografía de tórax frente y perfil  Día 3

Radiografía de tórax frente y perfil Día 3

Radiografía de tórax frente y perfil  Día 3

Radiografía de tórax frente y perfil Día 3