Enfermedad actual: Consulta por cuadro de 20 días de evolución, de inicio súbito y curso progresivo caracterizado por inestabilidad en la marcha, requiriendo asistencia para deambular.
Por dicho cuadro, consulta inicialmente en efector de su localidad, donde cursó internación por 72 horas con tomografía de cráneo y columna cervical sin alteraciones de jerarquía, otorgándole el alta hospitalaria.
De 10 días de evolución aproximadamente, agrega alteración en el habla (habla escandida) y exacerbación de su cuadro clínico, por lo que es derivada a nuestro efector.
Niega cefalea, fiebre, hipoacusia, disminución de la agudeza visual, diplopía, diarrea, tos, disnea y otros síntomas.
Antecedentes personales:
Antecedentes familiares:
Padre: Desconoce
Madre: Desconoce
Hermanas/os: No posee
Hijos/as: Sanos
Examen físico:
| Peso: 80 kg | Altura: 1.55 cm | IMC: 33.3 |
Exámenes Complementarios previos:
Exámenes Complementarios:
| Laboratorio: | Dia 0 | Día 6 | Día 8 |
| Hemoglobina (g/dL) | 13.8 | 14.3 | 13.1 |
| Hematocrito (%) | 41 | 41 | 37 |
| VCM (fl) | 79.3 | 79.3 | 79 |
| HCM (pg) | 26.7 | 27.4 | 27.8 |
| Glóbulos blancos (/mm) | 6340 | 14870 | 12560 |
| Neutrófilos (%) | - | 92 | 87 |
| Eosinófilos (%) | - | 0 | 0 |
| Basófilos (%) | - | 0 | 0 |
| Linfocitos (%) | - | 5 | 7 |
| Monocitos (%) | - | 2 | 4 |
| Plaquetas (/mm) | 315000 | 376000 | 360000 |
| Glicemia (mg/dl) | 76 | 209 | 94 |
| Urea (mg/dl) | 19 | 27 | 32 |
| Creatinina (mg/dl) | 0.68 | 0.68 | 0.64 |
| Sodio (mEq/l) | 137 | 136 | 138 |
| Potasio (mEq/I) | 3.69 | 3.53 | 3.90 |
| Cloro (mEq/l) | 99 | 99 | 100 |
| Calcio (mg/dL) | 9.6 | - | |
| Fósforo (mg/dL) | 3.3 | - | |
| Magnesio (mg/dL) | 1.8 | - | |
| Bilirrubina total (mg/dL) | 0.65 | - | 0.31 |
| TGO (UI/L) | 32 | - | 21 |
| TGP (UI/L) | 84 | - | 90 |
| FAL (UI/L) | 68 | - | 57 |
| GGT (UI/L) | 24 | - | 26 |
| Amilasemia (UI/L) | - | - | 24 |
| VES (mm/1° hora) | 9 | - | - |
| PCR (mg/L) | 0.6 | - | - |
| TP (seg) | 13.6 | 13 | 14.2 |
| KPTT (seg) | 27 | 25 | 25 |
Evolución:
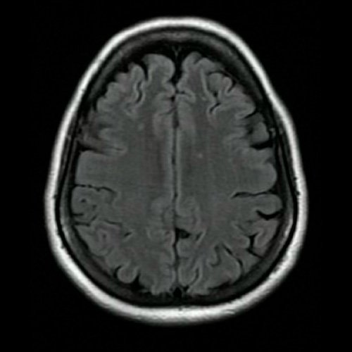
Curso internación en sala general y fue evaluada en conjunto con servicio de Neurología por síndrome atáxico en estudio. A su ingreso, se realizó Angio resonancia de cráneo que no evidenció alteraciones, se realizó una punción lumbar sin hallazgos de jerarquía, con posterior resultado negativo para virus de varicela zoster y herpes simple.
Al día 5 de internación se realizó pulso de metilprednisolona por 3 días, sin evidencia de mejoría posterior.
Por mantenerse estable clínicamente se decide su alta hospitalaria, debiendo seguir control estricto por consultorio externo con ambos servicios tratantes
Pendientes:
Cuando hablamos de síndrome cerebeloso nos referimos a la disfunción del cerebelo y sus conexiones. Dicho esto, ¿Qué función cumple el cerebelo?. Inicialmente, se creía que las funciones radican en el control de la sensibilidad y la motricidad. Sin embargo, hoy el “síndrome cerebeloso” no es solo motor, sino que integra estos tres grandes ejes: sensoriomotor – cognitivo – afectivo.
Es importante pensar en la afectación topográficamente: el cerebelo se divide en dos hemisferios y el vermis, que se ocupan de funciones diferentes: los hemisferios controlan el tono postural y marcha, mientras que el vermis está implicado en el lenguaje, la coordinación final, los movimientos rítmicos. Por lo tanto, podemos afirmar que la afectación de la paciente corresponde a una pancerebelitis.
Para la evaluación de los síndromes cerebelosos, existen una serie de escalas: las más relevantes son incluyen la international cooperative ataxia rating scale (ICARS) la que evalúa: oculomotor, discurso, movilidad y postura, permitiendo la clasificación en leve moderada y grave. Como punto en contra, requiere una evaluación precisa. Por otro lado, Scale for the assessment and rating ataxia (SARA) evalúa los mismos parámetros, sin tener en cuenta lo oculomotor. Todo esto nos permite la evaluación específica y permitiendo un enfoque más objetivo.
Existe una amplia gama de causas del síndrome cerebeloso. En primera instancia, debemos clasificarlo según el tiempo de evolución: agudo, subagudo y crónico.
Vamos a enfocarnos en la causa subaguda que nos interpela con esta paciente.
Dentro de la variedad de causas subagudas, se pueden clasificar según su etiología en adquiridas, hereditarias, degenerativas.
En las patologías adquiridas podemos nombrar a las causas estructurales y vasculares (descartadas por presentar resonancia sin alteraciones), infecciosas (no presenta signos clínicos ni de laboratorio que nos hagan sospecharla), carenciales ( más frecuentes en pacientes con alteraciones del tracto digestivo), metabólicas (nuestra paciente presenta una analitica sin alteraciones que lo justifiquen), trastornos autoinmunes sistémicos (alejado por no presentar otra sintomatología), tóxicas e inmunomediadas.
Me voy a referir solo a las causas que no fueron descartadas previamente en nuestra paciente.
Nombrando brevemente las causas tóxicas, la intoxicaciones por tolueno (componente de los pegamentos) puede ser causante, sin embargo, lo descarto ya que específicamente la composición del pegamento que la paciente utilizaba para su trabajo, por lo tanto lo descarto.
Existe un reporte de un caso, en 1989 en Eur Neurology, “ataxia as the only delayed neurotoxic manifestation of organophosphate insecticide poisoning” en el que un paciente como manifestación de una intoxicación crónica por organofosforado presenta solo ataxia, sin síndrome colinérgico. De igual forma, el inicio súbito de la sintomatología y la rareza del mismo nos permite alejar esta como causa.
Es interesante enfocarse en las causas inmunomediadas. Las mismas incluyen un grupo de enfermedades que pueden tener atrofia en las imágenes, no pudiendo visualizarse en los estadios más tempranos y con citofisicoquimico de líquido cefalorraquídeo que puede tener pleocitosis leve y bandas oligoclonales.
Considero importante nombrar tanto las que tienen disparadores claros como las que no lo tienen definidos.
Disparadores claros:
Un estudio publicado European journal of neurology (9) plantea que la negatividad de los anticuerpos no excluye el diagnóstico y que la diferencia tanto clínica como de pronóstico no plantea diferencias sustanciales entre las seronegativas y seropositivas.
Generalmente son enfermedades progresivas cuyo tratamiento radica en la inmunomodulación y el tratamiento oncológico y/o quirúrgico. El pronóstico de estas enfermedades suele ser malo. Esto nos plantea la necesidad de realizar screening oncológico en este tipo de pacientes.
Sin disparadores definidos:
Cuando hablamos de la ataxia cerebelosa inmunomediada, puede tener diferentes cursos clínicos (6):
Es relevante también decir que podemos hablar de la “reserva cerebelosa” como la capacidad para restaurar la función perdida. Está es inversamente
proporcional al tiempo de inicio de la sintomatología. Por ende, la inmunoterapia tiene como objetivo detener la progresión y hacerlo de forma temprana permite la remisión completa de la sintomatología.
Cabe destacar que la inmunomodulación puede no tener mejoría clara, sino que se recomienda la combinación de inmunomoduladores. La primera línea de tratamiento es corticoterapia, inmunoglobulina y en casos de convulsiones o status, plasmaféresis (aunque no existe evidencia de clara mejoría con la utilización de la última). De segunda línea, cuando no existe mejoría en las formas rápidamente progresivas a los 10 días, se plantea la realización de rituximab, ciclofosfamida o ambas de ser necesario.
La guía de utilización de inmunoglobulinas en neurología (4) plantea inicialmente y a destacar, que la eficacia de los resultados debe ser medible objetivamente (por ejemplo con las escalas clínicas planteadas anteriormente. En caso de no poder objetivar mejoría, el tratamiento debe ser detenido.
Dicho esto, plantea que en la ataxia degenerativo paraneoplásica, no se realiza tratamiento agudo de rescate con inmunoglobulinas pero si para mantenimiento y deben realizarse concomitantemente con quimioterapia. En la ataxia cerebelosa primaria autoinmune, se realiza el tratamiento agudo y pueden repetirse los cursos de inmunoglobulina.
Las ataxias cerebelosas hereditarias incluyen un grupo heterogéneo de enfermedades genéticas, tanto autosómicas recesivas como dominantes. Recordemos que nuestra paciente desconoce a sus padres biológicos, por ende, no quisiera sacar conclusiones apuradas. Sin embargo, en general los casos de ataxia hereditaria tienen un curso crónico. Además, en las guías de las mismas plantean que es el último diagnóstico a considerar, habiendo descartado otras causas previamente. Es por esto que parece de mayor jerarquía la búsqueda de otra causa antes de considerar realizar el panel genético.
Como conclusión, me parece fundamental contextualizar el conocimiento en la paciente, priorizando los estudios que permitan descartar diferentes causas. La pregunta más importante no es ¿qué tiene?, es, en cambio, ¿cómo seguimos? Recordando que la evolución clínica nos marca el tiempo.
No hay información de la evolución.

Anexo 1. Radiografía de tórax frente

Anexo 2. Angio RMI de cráneo: Corte transversal. Secuencia t2 flair

Anexo 3. Angio RMI de cráneo. Reconstrucción 3d.