Inicio / Seminarios / Detalle

Varón de 35 años con dolor dorsolumbar posterior a traumatismo

Imagen Principal

Enfermedad actual: Comienza hace 3 meses con dolor dorsolumbar posterior a un traumatismo en contexto de actividad deportiva (fútbol), de intensidad moderada, que cede con el reposo y con la ingesta de AINEs. Por ese motivo consultó en varias oportunidades en el hospital de su localidad, donde se lo evaluó y realizó RMN de columna y TC de tórax/abdomen, con hallazgos de fractura de D10, lesiones osteolíticas y micronódulos pulmonares. Se deriva a nuestro efector para continuar el estudio y evaluación. 

Al interrogatorio dirigido refiere pérdida de peso intencional de aproximadamente 10 kgs. Niega sudoración nocturna, fiebre, síntomas respiratorios y otros síntomas acompañantes. 

Antecedentes personales

  • Enfermedades del adulto: Niega
  • Internaciones previas: Niega
  • Antecedentes Traumáticos: Niega
  • Antecedentes Quirúrgicos: Niega
  • Antecedentes Alérgicos: Niega alergia medicamentosa
  • Medicación habitual: Meloxicam, pridinol, diclofenac si dolor (SOS)
  • Vacunación: Niega
  • Hábitos tóxicos: Niega

Antecedentes familiares:

Abuela: fallecida, cáncer de pulmón

Padre: vivo, infarto agudo de miocardio en 2023 con colocación de stent .

Madre: viva, cirugía de aneurisma cerebral  hace 12 años.

Hermanas/os: 2 Hermanos sanos.

Examen físico:

  • Impresión general: Buen estado general. 
  • Signos vitales: TA 120/70  mmHg, FC 109  lpm, FR 16  rpm, T° 37,1ºC, SatO2 97% (0.21)
Peso: 63 kgAltura: 165 cmIMC: 23,1
  • Piel: sin alteraciones pigmentarias, sin cicatrices.
  • Cabeza: Ojos: conjuntivas rosadas, escleras blancas. Movimientos oculares no dolorosos. Fosas nasales: permeables sin secreciones ni epistaxis. Puntos sinusales negativos. Cavidad bucal: mucosas húmedas. Lengua central sin lesiones.
  • Cuello: cilíndrico, simétrico, no se palpan adenopatías ni tiroides. Sin ingurgitación yugular. Pulsos carotídeos simétricos, sin soplos.
  • Tronco: diámetro anteroposterior normal, sin cicatrices. Columna: sonora, indolora. Puño-percusión: negativa bilateral.  Se palpa en región de la articulación esternoclavicular izquierda prominencia de características duro pétrea, no dolorosa.
  • Aparato Respiratorio: respiración costo abdominal, sin utilización de músculos accesorios, reclutamiento abdominal, tiraje intercostal/supraclavicular, ni aleteo nasal. Expansión de bases y vértices conservada. Excursión de bases conservadas. Sonoridad conservada. Murmullo vesicular conservado, sin ruidos agregados.
  • Aparato Cardiovascular: ritmo cardíaco regular, ruidos cardíacos normofonéticos, sin soplos ni R3/R4.
  • Abdomen: abdomen plano, sin estigmas de circulación colateral ni cicatrices. Blando, depresible e indoloro. Sin visceromegalias. Timpanismo conservado. Espacio de Traube libre. Ruidos hidroaéreos conservados. 
  • Neurológico: Vigil, orientado en tiempo, espacio y persona. Lenguaje: nomina y repite. Comprende: comandos y órdenes complejas. Pupilas: isocóricas reactivas y simétricas. Movimientos oculares externos: completos. Pares craneales: impresionan conservados. Reflejos osteotendinosos: positivos en los miembros evaluados. Sensibilidad: táctil superficial conservada. Coordinación: sin alteraciones. Respuesta plantar: indiferente bilateral. Hoffman: negativo bilateral. Marcha: asistida por andador. Sin signos meníngeos.
  • Extremidades: Superiores: Tono, trofismo y movilidad conservados. Pulsos conservados. Sin edema ni adenopatías. Inferiores: Tono, trofismo y movilidad conservados. Homans y Ollows negativos. Sin edemas ni adenopatías. Marcha asistida por andador. Dolor a la palpación paravertebral.
  • Región Perineal y genital: No evaluado

Exámenes Complementarios Previos:

  • RMI columna dorsal (20 días antes): Cifosis dorsal respetada. Escoliosis dextro convexa a punto de partida de cuerpo vertebral D10 comprometido, con trazo de fractura múltiple con disminución de su altura y marcado edema, compatible con fractura vertebral sin aparente compromiso del canal medular y muro posterior. Conjuntamente, en casi todos los cuerpos vertebrales dorsales, se observa la presencia de imágen  redondeadas sólidas isointensas con edema levemente intenso periférico, compatible en primer lugar con lesiones de tipo secundarismo versus lesión mieloide (sugiero correlacionar con laboratorio y antecedentes clínicos del paciente). Mínimo estrechamiento del canal medular ántero posterior a nivel de D10 sin aparente compromiso medular. Impresiona un moderado estrechamiento foraminal D10-D11 a izquierda. Intensidad de la señal del líquido cefalorraquídeo respetada. Planos blandos perivertebrales dorsales de aspecto conservado.2
  • Tomografía tórax con contraste E.V (7 días antes): La tiroides se observa heterogénea a correlacionar con ecografía. Las estructuras vasculares supraaórticas son de características normales, permeables. La aorta ascendente, el cayado y la aorta descendente son de calibre y trayectoria conservados, permeables. La arteria pulmonar y sus ramas son de calibre y trayectoria conservados, permeables. Relación aórtico-pulmonar conservada. El corazón es de tamaño normal. El pericardio es de espesor conservado. El esófago es de calibre y trayecto normales. El mediastino está en posición central. No se observan adenomegalias mediastinales, axilares o hiliares. El árbol traqueobronquial no presenta alteraciones. En el parénquima pulmonar, a nivel del segmento apical del LIl se observa una consolidación asociada a una voluminosa imagen quística de paredes delgadas, multiloculada y aparentes bronquiectasias quísticas. Se acompaña de un patrón micronodular bilateral; de distribución aleatoria y predominio en lóbulos inferiores a correlacionar con antecedentes, datos clínicos y otros estudios complementarios. No se observa derrame pleural. Se identifica colapso del cuerpo vertebral de D10 por la presencia de una lesión lítica, con fragmento óseo que invade el canal medular y compromete al muro posterior. Se observan otras múltiples lesiones líticas óseas, bien circunscritas, que afectan en forma difusa todos los cuerpos vertebrales, sacro, pelvis ósea, porción visualizada de ambos fémures, esternón, clavícula y escápulas. Algunas de ellas presentan componente de partes blandas con compromiso perivertebral y refuerzo tras el contraste e.v: visibles en D7,D8 y D12 y de mayor tamaño en L2,L4 y L5. Estas últimas en la región lumbar están en íntimo contacto con el músculo psoas. Además visualizó una lesión de densidad partes blandas, paraespinal derecha, en el espesor de los músculos lumbares y en contacto también con el psoas homolateral, de limites mal definidos ,con refuerzo tras el contraste y calcificaciones puntiformes en su interior; mide aprox 70 mm L x 30 mm T x 15 mm AP. También se observa en el arco anterior de la segunda costilla izquierda una imagen lítica con componente en partes blandas. Se sugiere correlación con metodología adecuada (Rmi con gadolinio) para la correcta evaluación del canal medular, de las partes blandas y de los discos vertebrales. Los hallazgos óseos y pulmonares sugieren considerar patología neoplásica o inflamatoria infecciosa, aunque no son específicos ni concluyentes. Se requiere de más estudios complementarios.
  • Tomografía abdomen y pelvis con contraste EV ( 7 días antes): El hígado es de forma, tamaño y situación habituales. Su superficie es lisa, y sus bordes son agudos. No presenta alteraciones densitométricas ni efectos de masa focales. La vía biliar intra y extrahepática es de calibre conservado. La vesícula biliar es de forma, tamaño y situación normales, sin imágenes que sugieran la presencia de litiasis. Tener en cuenta que este método puede pasar por alto litiasis colesterínicas. El bazo es de forma, tamaño y situación normales. El eje esplenoportal presenta calibre y trayecto conservado, permeable. El páncreas es de características normales. El conducto de Wirsung es de calibre conservado. Las glándulas adrenales son normales. Ambos riñones son de forma, tamaño y situación habituales. Concentran y eliminan normalmente la sustancia de contraste, sin evidencia de alteraciones calicopiélicas ni ureterales. La aorta y la vena cava inferior así como también los vasos ilíacos y femorales, son de calibre y trayecto conservados. No se observan adenomegalias intraperitoneales, retroperitoneales, iliacas ni inguinales. Tracto gastrointestinal en situación habitual. La vejiga es de paredes lisas, sin presentar efectos de masa endoluminales ni parietales. La próstata y las vesículas seminales no presentan alteraciones. Lesiones óseas descritas anteriormente.
  • Serologías VIH, VHB, VHC, VDRL (7 días antes): no reactiva. 
  • TSH (7 días antes):: 3.18  Ui/ml.
  • Vitamina D (7 días antes ): 20.8 ng/ml.
  • Vitamina B12 (7 días antes): 428 pg/ml.

Exámenes Complementarios: 

Laboratorio:Dia 0Dia 5Dia 8
Hemoglobina (g/dL)14.314.814.9
Hematocrito (%)394041
VCM (fl)79.5-81.1
HCM (pg)29.4-29.3
Glóbulos blancos (/mm)131001252012750
Neutrófilos (%)--62
Eosinófilos (%)--2
Basófilos (%)--0
Linfocitos (%)--28
Monocitos (%)--8
Plaquetas (/mm)321000324000350000
Glicemia (mg/dl)899795
Urea (mg/dl)342925
Creatinina (mg/dl)0.831.060.87
Sodio (mEq/l)134136139
Potasio (mEq/I)4.404.604.11
Cloro (mEq/l)979497
Calcio (mg/dL)9.510.510.1
Fósforo (mg/dL)-4.03.3
Magnesio (mg/dL)1.71.91.8
pH7.38-7.34
pCO2 (mmHg)46.8-55.3
pO2 (mmHg)26.9-27.0
Exceso de base (mmol/L)1.9-2.2
HCO3 (mmol/L)27.6-29.7
SatO2 (%)50.6-48.1
Ácido láctico (mmol/L)1.82-2.10
Bilirrubina total (mg/dL)0.220.550.50
TGO (UI/L)252231
TGP (UI/L)211638
FAL (UI/L)125139145
GGT (UI/L)535863
Amilasa (UI/L)139156-
Proteínas totales (g/dL)-8.0-
Albúmina (g/dL)3.8-4.1
CPK (UI/L)38--
LDH (UI/L)365374-
VES (mm/1° hora)2544-
PCR (mg/L)8.053.4-
TP (seg)14.2--
KPTT (seg)34--
  • Estudio metabólico del hierro (Dia 5): Ferremia 37  TIBC 263 µg/dl  % Saturación de la Transferrina 14.1 % Ferritina 307.1 ng/ml.
  • Proteinograma por electroforesis (Dia 5): Proteínas Totales 8.00 g%, Albúmina 3.80 g%, Alpha 1 Globulinas 0.34 g%, Alpha 2 Macroglobulina 1.03 g%, Beta 1 Haptoglobina 0.62 g%, Beta 2 - Transferrina 0.54 g%, Gamma / Inmunoglobulinas 1.72 g%, Cuantificación de Inmunoglobulina G 1701 mg/dl, Cuantificación de Inmunoglobulina A 566 mg/dl, Cuantificación de Inmunoglobulina M 138 mg/dl, Beta 2 microglobulina 1.65 mg/L.
  • Antígeno Prostático Específico (PSA) (Dia 8): 0.87 ng/ml.

IMÁGENES

  • Ecografía testicular (Dia 5): Se evalúan ambos testículos con transductor de 7,5 Mhz. Testículo derecho presenta forma, tamaño y contornos conservados.  Mide 44 mm x 26 mm. Parénquima homogéneo. En proyección de la cabeza del epidídimo se visualiza una imagen redondeada, anecoica, de aspecto líquido de 7 mm.  No se observa hidrocele ni varicocele. Testículo izquierdo presenta forma normal, de menor tamaño que el contralateral, contornos conservados.  Mide 35 mm x 17 mm. Parénquima homogéneo. En proyección de la cabeza del epidídimo se visualiza una imagen redondeada, anecoica, de aspecto líquido de 7.5 mm.  No se observa hidrocele ni varicocele.
  • Ecografía de tiroides (Dia 6 ): GLÁNDULA TIROIDES: de tamaño, morfología y localización habitual. LÓBULO DERECHO: Mide 52 mm x 16 mm x 17 mm (L x AP x T). El parénquima es heterogéneo. No se observan nódulos sólidos, ni colecciones líquidas. Reparos vasculares conservados. Con adecuada vascularización al Doppler color. LÓBULO IZQUIERDO: Mide 44mm x 12 mm x 15 mm (L x AP x T). El parénquima es heterogéneo. No se observan nódulos sólidos, ni colecciones líquidas. Reparos vasculares conservados. Con adecuada vascularización al Doppler color. ISTMO: de espesor conservado. No se observan desplazamientos vasculares que puedan considerarse patológicos. Se visualiza múltiples estructuras ganglionares laterocervicales bilaterales; se destaca una de ellas en espacio yugulo carotídeo derecho, hipoecogénico, heterogéneo, con pérdida del hilio graso, que mide 7mm en su eje corto.

Evolución: 

Permanece estable, afebril, con aceptable control del dolor.

Se realizó ecografía de tiroides y testicular sin alteraciones, también se realizó un proteinograma por electroforesis y perfil de hierro sin alteraciones significativas. Además se realizó punción -  aspiración de médula ósea (PAMO) pendiente resultado y lavado broncoalveolar dando como resultado baciloscopia negativa para micobacteria, quedando pendiente GeneXpert y cultivo para micosis.

Pendientes: 

  • GeneXpert de lavado bronco-alveolar 
  • Cultivo de micosis 
  • Orina de 24 horas.
  • Resultado de PAMO.
  • Eventual biopsia de lesiones óseas.

El abordaje inicial del caso clínico a tratar consta de enfocarnos en el dato guía, en este caso, el protagonismo se lo llevan las lesiones osteolíticas múltiples. No obstante, contamos con analítica dentro de parámetros normales y hallazgos imagenológicos a nivel pulmonar. La pregunta inicial es: ¿Estas imágenes pulmonares son parte de un mismo cuadro, o es simplemente un hallazgo aislado?

Por supuesto que en todo cuadro clínico en un paciente joven, sin antecedentes de jerarquía, excepto una baja carga tabáquica, en primer lugar, se tienen en cuenta las causas infecciosas. Por el tiempo de evolución de la misma, se consideró evaluar las causas crónicas, teniendo en cuenta en primer lugar a la infección por tuberculosis. 

Este cuadro infeccioso, si bien presenta diferentes maneras de presentación clínica, cuando genera lesiones osteolíticas a nivel de la columna vertebral suele afectar dos vértebras contiguas, objetivando la afectación de la zona anterior del cuerpo de las mismas. En el caso de nuestro paciente debemos tener en cuenta que las mismas son heterogéneas, así como también, evaluar que nuestro paciente no tuvo fiebre o síndrome constitucional asociado, así como tampoco son compatibles las lesiones a nivel pulmonar. Es por esto que este diagnóstico se encuentra alejado. 

El segundo gran grupo de enfermedades que deben analizarse son las enfermedades neoplásicas. Por supuesto fueron evaluadas aquellas que presentan lesiones osteolíticas compatibles. 

En primer lugar, debemos tener en cuenta al linfoma óseo como causante de lesiones primarias osteolíticas en columna vertebral, sin embargo, las lesiones por esta entidad suelen ser únicas y más frecuentemente osteoblásticas. Si bien la bibliografía nombra excepciones, no existen casos clínicos reportados que sean compatibles con el de nuestro paciente. 

En las neoplasias secundarias teniendo en cuenta a uno de los cuadros más compatibles desde el punto imagenológico, no debemos dejar de nombrar al mieloma múltiple. Lo interesante a tener en cuenta es que esta enfermedad suele encontrarse con alteraciones analíticas como anemia, hipercalcemia o falla renal, las cuales no se encuentran en nuestro paciente, siendo la anemia la alteración más frecuente en estos cuadros, alcanzando una frecuencia de más del 80%. Luego de presentar resultados de la punción-aspiración de médula ósea, este diagnóstico fue descartado. 

En cuanto a las neoplasias secundarias relacionadas a tumores sólidos, fueron analizados los siguientes: tumor en tiroides, cáncer de testículo, cáncer de pulmón, cáncer renal, melanoma, cáncer de próstata y cáncer de mama en el hombre. De todas ellas se tuvo en cuenta que el paciente no presentaba adenopatías en las imágenes, salvo en tórax y que solamente se evidenció una pequeña lesión sólida a nivel pulmonar acompañando las bronquiectasias. Por lo que el diagnóstico más probable dentro de este grupo, aunque dentro de una rara presentación es el cáncer pulmonar. De todas formas, debemos tener en cuenta que el paciente no presentaba un síndrome constitucional que llamase la atención, el cual sería esperable en este tipo de compromiso metastásico. 

Por último, pero no menos importante, dentro de las enfermedades que pueden generar estas alteraciones osteolíticas múltiples y que, además, se asocian a lesiones pulmonares compatibles, se encuentra la histiocitosis de las células de Langerhans. La misma además suele presentarse con analítica normal. Es una entidad rara en adultos, ya que es más frecuente en pediátricos y el diagnóstico se obtiene mediante biopsia. 

Es por esto que, acompañando al gran análisis clínico del cual he aprendido mucho, consideramos que la biopsia en tejido óseo nos brindará el diagnóstico certero. 


 

No hay información disponible.

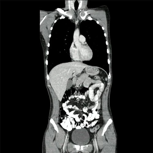
Imagen

TAC de columna con contraste EV (Corte sagital y corte coronal): Presenta múltiples lesiones líticas óseas, bien circunscritas, que afectan en forma difusa todos los cuerpos vertebrales, sacro, pelvis ósea, esternón, clavícula y escápulas.además se desta

Imagen

TAC de columna con contraste EV (Corte sagital y corte coronal): Presenta múltiples lesiones líticas óseas, bien circunscritas, que afectan en forma difusa todos los cuerpos vertebrales, sacro, pelvis ósea, esternón, clavícula y escápulas.además se desta

Imagen

TAC de tórax con contraste EV (Corte axial): Presenta lesión de densidad partes blandas, paraespinal derecha, en el espesor de los músculos lumbares y en contacto también con el psoas homolateral, de limites mal definidos ,con refuerzo tras el contraste y

Imagen

TAC de tórax con contraste EV (Ventana pulmonar- corte axial): En el parénquima pulmonar, a nivel del segmento apical del LIl se observa una consolidación asociada a una voluminosa imagen quística de paredes delgadas, multiloculada y aparentes bronquiecta

Presentado por
  • Berrío Alejandro - Cavallo Francina
Discusión
Fecha: 06 noviembre 2025
A cargo de
  • Armocila Lucia - Consiglio Francisco
Volver a Seminarios