Inicio / Seminarios / Detalle

Mujer de 50 años con debut de sindrome ascítico edematoso y enfermedad autoinmune

Imagen Principal

Enfermedad actual: 

Paciente femenina de 50 años de edad consulta en guardia externa por cuadro de aproximadamente una semana de evolución caracterizado por dolor abdominal generalizado de intensidad 7/10, asociado a distensión abdominal progresiva, edemas en miembros inferiores y agrega en las últimas horas un episodio de vómito bilioso y diarrea acuosa. 

Al interrogatorio dirigido refiere que el episodio de vómito presentaba características en borra de café, el cual no fue constatado. Además refiere episodios de parestesias en ambos miembros inferiores y dolor tipo neuropático. Niega fiebre u otros síntomas acompañantes. 

Antecedentes personales

  • Enfermedades del adulto: 
    • Cirrosis secundaria a colangitis biliar primaria en seguimiento por el Servicio de Gastroenterología desde Julio de 2025. Previamente realizó estudio y seguimiento en otro efector.
  • Antecedentes obstétricos:
    • Gestas 7, partos 3, abortos 4 (años 1989, 1991, 1993 y 2002). FUM: a los 45 años de edad. MAC: niega.
  • Internaciones previas: 
    • Marzo - Abril 2019: infección asociada a material de osteosíntesis con retiro del mismo, múltiples toilette quirúrgicas y antibioticoterapia.
  • Antecedentes Traumáticos: 
    • Fractura de rodilla izquierda en Febrero de 2019, con colocación de material de osteosíntesis.
  • Antecedentes Quirúrgicos: 
    • Apendicectomía en la infancia.
    • Colecistectomía en el año 2000.
  • Antecedentes Alérgicos: niega
  • Medicación habitual: tramadol 50 mg cada 12 horas y diclofenac 75 mg cada 12 horas según dolor de miembros inferiores.
  • Vacunación: 2 dosis para SARS-CoV-2
  • Hábitos tóxicos: ex etilista de jerarquía (no especifica cantidad). Abandono del hábito a los 33 años.


Antecedentes familiares:

Padre: cirrosis, desconoce causa.

Madre: fallecida, desconoce causa.

Hermanas/os: 113. 2 fallecidos (HVI, ahogamiento), 1 de ellos con diagnóstico de asma.

Hijos/as: 3. 1 con diabetes mellitus tipo I, 1 con arteritis de Takayasu.


Exámenes complementarios previos:

Analítica

  • Perfil tiroideo (17/08/23): TSH 3.14 (VN 0.27 - 4.2), T4 1.5 ng/dl (0.93 - 1.7)
  • Adenocorticotrofina (17/08/23): 17.27 pg/ml (VN 7.2 - 63.3)
  • Dosaje B12 (27/12/2024): 362 pg/ml (VN 211 -911).
  • Laboratorio (07/02/25): hemoglobina 12.4 g/dl, hematocrito 36%, plaquetas 157.000 /mm3, leucocitos 3980 /mm3, TP 16.4 seg, KPTT 34 seg, creatinina 0.6 mg/dl, bilirrubina total 1.49 mg/dl, GOT 125 UI/ml, GPT 59 UI/ml, FAL 832 UI/ml, GGT 265 UI/l, proteínas totales 6.5 g/dl, albúmina 2.5 g/dl.
  • Ácidos biliares (07/02/25): 16.7 (VN 0.0 - 10.0)
  • Perfil lipídico (07/02/25): colesterol total 156 mg/dl, colesterol HDL 41 mg/dl, colesterol LDL 114 mg/dl, triglicéridos 80 mg/dl
  • Perfil férrico (07/02/25): ferremia 83 ug/dl, TIBC 227 ug/dl, % sat. transferrina 36.6, ferritina 234.5 ng/ml, cuantificación de transferrina 171 mg/dl
  • Marcadores tumorales: 
    • Alfa feto proteína (14/07/25): 1 ng/ml (VN 0.7 - 7.1)
    • Antígeno carcinoembrionario (07/02/25):  4.64 ng/ml (VN 0.2 - 3.4)
    • CA 19.9 (07/02/25): 9 U/ml (VN  0.6 - 39)


Perfil inmunológico

  • Anticoagulante lúpico (10/04/19): 1.33 (positivo débil)
  • ANCA P (12/04/19): no reactivo
  • ANCA C (12/04/19): no reactivo
  • Anticuerpos anti cardiolipinas (11/07/19): IgM 58 (reactivo); IgG 14 (no reactivo)
  • Anticuerpos anti B2 glicoproteínas-1 (11/07/19): IgM 159 (reactivo); IgG menor a 9.4 (no reactivo) 
  • FAN (11/07/19): positivo 1/2560, patrón moteado grueso
  • Anticentrómero (11/07/19): reactivo. Título 1/2560
  • Anticuerpos antinucleares (ENA) (11/07/19): CENP-B REACTIVO. dsDNA, Histonas, SmD1, U1-snRNP, SS-A/Ro, SS-B/La, Scl 70, Jo1, PO, nucleosomas NO REACTIVO.
  • FAN (07/02/25): positivo 1/5120, patrón moteado
  • Anticuerpos anti músculo liso (07/02/25): negativos
  • Cuantificación de inmunoglobulina M (14/07/25): 818 mg/dl (VN 40 - 200)
  • Anticuerpos anti mitocondriales (14/07/25): negativos
  • Anticuerpos anti endomisio IgA (14/07/25): negativos  
  • Anticuerpos antinucleares (ENA) (17/08/25): no reactivos (Scl-70, Sm, Ro, La)

Imágenes

  • Ecodoppler del eje esplenoportal (09/02/23): VENA PORTA: calibre conservado de 11 mm, flujos hepatopetos conservados, con una velocidad de 24 cm/seg. VENA ESPLÉNICA: visualizada, de calibre conservado y flujos hepatopetos con variación respiratoria. VENAS SUPRAHEPÁTICAS: permeables, con flujos monofásicos conservados, con pérdida de la fasicidad habitual. No se observa recanalización del ligamento redondo, se visualiza circulación colateral a nivel esplenorrenal. 
  • Videocolonoscopia (23/02/23): se progresa el endoscopio hasta colon ascendente, se observan angiodisplasias a predominio de colon derecho hy sigmoides. No se observan lesiones mucosas superiores a los 5 mm en los segmentos evaluados. Hemorroides internas.
  • Videoendoscopia digestiva alta (24/02/23): ESÓFAGO: cambio mucoso a 38 cm de ADS, várices grandes en tercio inferior de esófago (2 paquetes). ESTÓMAGO: mucosa gástrica congestiva píloro centrado y permeable. DUODENO: hasta 2da porción normal. COMENTARIO: sin signos de sangrado activo. 
  • TAC tórax con contraste EV (20/01/25): el análisis del parénquima pulmonar pone en evidencia múltiples lesiones micronodulares, centrolobulillares dispersas en forma focal en segmento posterior del lóbulo superior derecho y difusa en segmento lingular superior asociado a pequeña bronquioloectasia de tracción. Hallazgos que podrían corresponder a proceso inflamatorio/infeccioso. 
  • TAC abdomen y pelvis con contraste EV (20/01/25): higado con tamaño y situación habitual, presenta parénquima heterogéneo de márgenes ligeramente macronodulares y bordes agudos compatible con hepatopatía crónica. Esplenomegalia, el bazo mide 167mm AP. Imagen quística subcapsular sobre su polo superior de 8mm. Marcada circulación colateral periesplénica, asociada a shunt esplenorrenal con dilatación de vena ovárica izquierda y formación de varices periuterinas homolateral. Se visualiza a nivel del cérvix, proceso expansivo, de aspecto sólido, de contornos parcialmente definidos, que se extiende hacia ambos parametrios e impresiona comprometer anexo izquierdo. Hallazgos que obligan a descartar proceso neoformativo primario. Anterolistesis L5-S1 asociado a espondilolisis bilateral. 
  • Ecocardiograma y doppler vascular (11/03/25): remodelado concéntrico y disfunción diastólica grado I. FEY 65%.
  • Ergometría computarizada (19/03/25): prueba realizada en cinta. Completa primera etapa del protocolo de Bruce. Prueba insuficiente, alcanza el 73% de la FCMP. Detenida por disnea y agotamiento de miembros inferiores. No se observan alteraciones dinámicas del ECG. Asintomática para ángor. Normal comportamiento de la TA. EV aislada. Clase funcional III (4.5 mts).
  • Videoendoscopia digestiva alta (16/05/25): ESÓFAGO: cambio mucoso a 39 cm de arcada dental superior. Mucosa de aspecto conservado. Se observan várices esofágicas grado II. En la unión gastroesofágica presenta úlcera superficial con base de fibrina (hora 2). Saco herniario menor a 2 cm. DUODENO: bulbo y segunda porción de características normales. CONCLUSIÓN: gastropatía moderada por hipertensión portal. Hernia de hiatus. Várices esofágicas grado II. Úlcera superficial en hora 2 cubierta por fibrina.
  • Ecografía abdominal (21/05/25): HÍGADO: forma y contornos conservados. Levemente aumentado de tamaño. Parénquima discretamente heterogéneo, con aumento de grosor de los ecos. Sin imagen de lesión focal. BAZO: aumentado de tamaño, mide 15 cm DL, de parénquima homogéneo. Se observa circulación colateral periesplénica. Sin líquido libre.
  • Ecografía mamaria bilateral (21/05/25): rastreo ecográfico mamario bilateral, observándose al tejido con características de tejido fibroglandular que se dispersa en forma homogénea y regular por todo el cuerpo glandular. MAMA DERECHA: se observa colección líquida simple en H11 de 3 mm. MAMA IZQUIERDA: se identifica en hr 9-10, en localización periareolar, una formación nodular hipoecoica, ovalada, de márgenes circunscritos, con vascularización difusa al doppler color, que mide 7 x 6 x 7 mm. Ductos retroareolares de calibre conservado. Ganglios axilares bilaterales de características ecográficas normales. BI-RADS 3.
  • Ecografía ginecológica transvaginal (21/05/25): útero en AVF, de tamaño conservado. Miometrio heterogéneo, sin lesiones focales. Endometrio lineal. Ambos ovarios de características ecográficas conservadas. Se observa escaso líquido libre en pelvis.
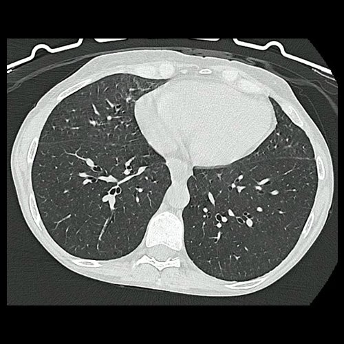
  • TAC de tórax con protocolo para EPID (02/06/25): se compara con estudio previo con fecha de 01/2025. No se identifican signos de consolidación del parénquima pulmonar o derrame pleural. Bulla intraparenquimatosa basal izquierda. Respecto del estudio previo se encuentra disminuido el infiltrado micronodulillar en el segmento lingular inferior, respecto del estudio previo, no visualizándose en este examen, probablemente de origen inflamatorio-infeccioso. Persisten micronodulillos centrolobulillares sutiles e inespecíficos en lóbulo superior del pulmón derecho principalmente y un ténue patrón micronodulillar en el resto de los campos pulmonares, muy sutil, sin cambios con respecto al estudio anterior. En los registros en espiración se observa colapso parcial del espacio aéreo con signos de atrapamiento. Tráquea y bronquios permeables. Secuelas pleuroparenquimatosas biapicales. Con ventanas para la valoración del mediastino se observan múltiples estructuras ganglionares mediastinales de tamaño conservado. Silueta cardíaca respetada. Esófago con contenido líquido en su interior. No se observan adenomegalias axilares. No se identifican lesiones focales en el abdomen superior, destacando hepatoesplenomegalia con un bazo accesorio y lo que podrían corresponder a múltiples estructuras vasculares de circulación colateral y shunt esplenorrenales, que sería útil cotejar con contraste endovenoso. Las estructuras óseas muestran incipiente espondiloartrosis dorsal.
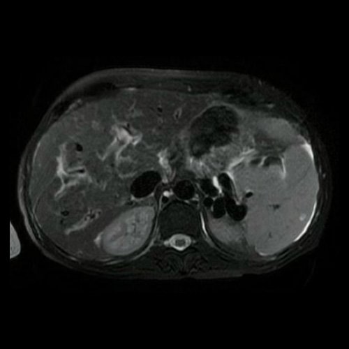
  • Resonancia de abdomen y pelvis con contraste endovenoso (08/06/25): se interpreta en comparación con tomografía de enero de 2025. El examen realizado muestra el hígado de tamaño conservado, con intensidad de señal finamente heterogénea en forma difusa, no identificándose lesiones nodulares focales hepáticas. Se menciona la vena porta de calibre y flujo respetado, con signos de edema periportal difuso. Existe esplenomegalia, con una pequeña imagen quística subcapsular posterior. Prominentes estructuras vasculares venosas dilatadas, con la presencia de shunts esplenorrenales, ya estaban presentes en la TAC previa. No se identifican alteraciones focales en el páncreas, glándulas suprarrenales y riñones. Se menciona ascitis de mayor magnitud que en el estudio previo, se observa líquido perihepático, periesplénico y hacia las goteras parietocólicas, como así también líquido libre en la pelvis. Existen también estructuras ganglionares en el hilio hepático y en el hiato de Winslow, la de mayor tamaño mide 14 mm en el eje menor, entre la vena cava y la vena porta. Ya estaban presentes en la TAC previa. Bazo accesorio. Se visualiza parcialmente al colon, impresionando persistencia del engrosamiento parietal del colon ascendente, mencionado en la TAC previa, que si bien podría tener origen inflamatorio, sugiero estudio dirigido. El examen de la pelvis muestra al útero en AVF, el miometrio es heterogéneo a expensas de áreas de adenomiosis, y un mioma intramural anterior de 7 mm. La cavidad endometrial es lineal. El cérvix es prominente, no obstante se observa hipointenso en T2, no se identifican lesiones focales, la hipointensidad de señal, sugiere fibrosis, no obstante deberá cotajarse con antecedentes. El OCI y el canal endocervical se observan respetados por esta metodología. No se observan focos de restricción en difusión a nivel del cérvix uterino. Si la clínica lo justifica, sugiero cotejar con papanicolao y estudio directo. Se observan estructuras varicosas hacia ambos parametrios a predominio izquierdo. La vagina muestra espesor parietal respetado. Existe ascitis interasas, en la pelvis y hacia el fondo de saco de Douglas. Los ovarios se encuentran en proyección habitual, no identificándose lesiones focales anexiales. Vejiga de paredes finas sin lesiones endoluminales. No se observan adenomegalias en cadenas ilíacas o inguinales. No se identifican lesiones óseas en la pelvis.
  • Ecografía abdominal (08/10/25): HÍGADO: tamaño conservado, parénquima discretamente dishomogéneo con pérdida de ángulos agudos, bordes levemente irregulares, no se identifican lesiones focales al momento de realizar el estudio, circulación y vía biliar intrahepática no dilatada. VESÍCULA: resecada. CONDUCTO COLÉDOCO: calibre habitual. PÁNCREAS: de tamaño conservado y ecoestructura homogénea. RIÑÓN DERECHO: de forma y tamaño conservados. No se evidencia ectasia ni imágenes compatibles con urolitiasis, no se visualizan imágenes quísticas y sólidas. RIÑÓN IZQUIERDO: de similares rasgos sonográficos que el contralateral. BAZO: tamaño aumentado, mide 144 mm de longitud mayor y ecoestructura homogénea. Comentarios: se visualiza ascitis moderada, varices gastro esplénicas, vena porta de 13 mm de diámetro con ausencia de variación respiratoria, onda aplanada de baja VPS, venas suprahepáticas con pérdida de la fasicidad habitual. Signos de hipertensión portal. 


Microbiológicos

  • Serologías (07/02/25): HIV, VDRL, VHC y VHB no reactivos
  • Baciloscopia de esputo (18/02/25): 2 muestras negativas para BAAR


Examen físico:

  • Impresión general: Regular estado general. Adelgazada.
  • Signos vitales: TA 90/60 mmHg, FC 94 lpm, FR 18 rpm, T° 36.4ºC, SatO2 98% (0.21) 
  • Piel:  telangiectasias en cara, manos y pies
  • Cabeza: Ojos: conjuntivas rosadas, escleras blancas. Movimientos oculares no dolorosos. Fosas nasales: permeables sin secreciones ni epistaxis. Puntos sinusales negativos. Cavidad bucal: mucosas húmedas. Labios secos y agrietados. Lengua central sin lesiones. Sin piezas dentarias.
  • Cuello: cilíndrico, simétrico, no se palpan adenopatías ni tiroides. Sin ingurgitación yugular. Pulsos carotídeos simétricos, sin soplos.
  • Tronco: diámetro anteroposterior normal, sin cicatrices. Mamas: sin nódulos ni depresiones, ni secreción por pezón. Columna: sonora, indolora. Puño-percusión: negativa bilateral. 
  • Aparato Respiratorio: respiración costo abdominal, sin utilización de músculos accesorios, reclutamiento abdominal, tiraje intercostal/supraclavicular, ni aleteo nasal. Expansión de bases y vértices conservada. Excursión de bases conservadas. Sonoridad conservada. Murmullo vesicular conservado, sin ruidos agregados.
  • Aparato Cardiovascular: ritmo cardíaco regular, ruidos cardíacos normofonéticos, sin soplos ni R3/R4.
  • Abdomen: distendido no tensionado, matidez de concavidad superior, onda ascítica positiva, sin estigmas de circulación colateral, . Blando, depresible y sensible a la palpación profunda generalizada, sin signos de irritación peritoneal. Hepatomegalia leve. Esplenomegalia. Traube libre. Ruidos hidroaéreos conservados. Cicatriz de incisión de Kocher.
  • Neurológico: Vigil, orientada en tiempo, espacio y persona. Lenguaje: nomina y repite. Comprende: comandos y órdenes complejas. Pupilas: isocóricas reactivas y simétricas. Movimientos oculares externos: completos. Pares craneales: impresionan conservados.. Sensibilidad: táctil superficial conservada. Coordinación: sin alteraciones. 
  • Extremidades: Superiores: tono y trofismo conservados, cicatrices de lesiones de tipo “mordedura de rata” y fenómeno de Raynaud en ambas manos. Movilidad reducida en miembro superior derecho y falanges de mano derecha con piel engrosada y edematizada respecto a la contralateral. Inferiores: Edema infrapatelar, bilateral, simétrico, godet 3+++, telangiectasias en ambos pies, con dedos en garra. Hipoestesia en ambos miembros inferiores. Temperatura conservada. 
  • Región Perineal y Genital: no se evalúa. 


Exámenes Complementarios: 


 

Laboratorio:Día 0Día 5Día 7
Hemoglobina (g/dL)11.89.29.4
Hematocrito (%)352727
VCM (fl)88.588.2-
HCM (pg)3030.1-
Glóbulos blancos (/mm)453019001570
Neutrófilos (%)-64-
Eosinófilos (%)-7-
Basófilos (%)-1-
Linfocitos (%)-16-
Monocitos (%)-11-
Plaquetas (/mm)1660007700092000
Glicemia (mg/dl)986880
Urea (mg/dl)10107
Creatinina (mg/dl)0.630.520.63
Sodio (mEq/l)131133138
Potasio (mEq/I)4.33.543.22
Cloro (mEq/l)99104109
pH7.37--
pCO2 (mmHg)36.8--
pO2 (mmHg)27.7--
Exceso de base (mmol/L)-3.9--
HCO3 (mmol/L)20.8--
SatO2 (%)49.2--
Ácido láctico (mmol/L)2.4--
Bilirrubina total (mg/dL)1.421-
TGO (UI/L)9935-
TGP (UI/L)3816-
FAL (UI/L)636362-
GGT (UI/L)224158-
Amilasa (UI/L)29--
Albúmina (g/dL)1.922.6
TP (seg)19.9--
KPTT (seg)36--

ANALÍTICA

  • Cito físico químico de líquido ascítico (día 0): Glucosa 1.05 g/L. Proteínas 11.9 g/L. Albúmina 3.6 g/L. Colesterol total 33 mg/dl. Triglicéridos 49 mg/dl. Pseudocolinesterasa 464 UI/L. Amilasa 19 UI/L. LDH 70 UI/L. Rivalta negativo . Elementos/mm3: 781 (PMN 46 % , MN 49%). GASA calculado: 1.5.
  • Troponinas T ultrasensibles (día 3): 13:30 hs 3.33 / 14:30 hs 12.21 / 16 hs 3.37
  • Cito físico químico de liquido ascítico (día 4): Glucosa 1.01 g/L. Proteínas 14.90 g/L. Albúmina 5.5 g/L. Colesterol total 44 mg/dL. Triglicéridos 39 mg/dL.Pseudocolinesterasa 530 UI/L. Amilasa 15 UI/L. LDH 57 UI/L. Rivalta negativo. Elementos/mm3: 1230 (PMN 50%, MN 40%).
  • Perfil lipídico (día 5): Colesterol total 113 mg/dL., colesterol HDL: 26 mg/ dL, colesterol LDL: 71 mg/dL, trigliceridemia 79 mg/dL. 
  • Vitamina B12 (día 5): no disponemos reactivo. 
  • Ácido fólico (día 5): 8.6 ng/ml (VN 5-20)
  • Marcadores tumorales (día 5): Alfafetoproteína 1 ng/ml (VN 0.70-7.70). CA-125: 274 U/ml (VN 1-35). CA-19.9: 7 U/ml (VN 0.60-39). CEA: 7.4 U/ml (VN 0.20-3.4).
  • Perfil férrico (día 7): Ferremia 44 μg/dl. TIBC 130 μg/dl. Sat transferrina 34%. Ferritina 406.8 ng/ml.
  • Cito físico químico de líquido ascítico (día 7): Glucosa 0.97 g/L. Proteínas 21.10 g/L. Albúmina 11.4 g/L. Colesterol total 39 mg/dL. Triglicéridos 31 mg/dL.Pseudocolinesterasa 658 UI/L. Amilasa 25 UI/L. LDH 67 UI/L. Rivalta negativo. Elementos/mm3: 870 (PMN 50%, MN 40%).


MICROBIOLOGÍA

  • Hemocultivos x 2 (día 1): negativos.
  • Cultivo de líquido ascítico (día 3): negativo.
  • Cultivo de líquido ascítico (día 4): negativo..
  • Coprocultivo (día 5): negativo.
  • Portación de microorganismos multirresistentes (día 5): negativo
  • Toxina para Clostridium difficile (día 5): no detectable.


PERFIL INMUNOLÓGICO

  • Anticuerpos anticardiolipinas (día 4): negativo. 
  • Anticuerpos anti B2 glicoproteína-1 (día 4): negativo. 
  • Anticuerpos anti Scl70 (día 4): negativo. 
  • Anticuerpos anti centrómero (día 4): pendiente. 
  • Anticuerpos anti Ro (día 4): Negativo. 
  • Anticuerpos anti La (día 4): Negativo. 
  • Anticuerpos anti RNP (día 4): Negativo. 
  • Anticuerpos anti Smith (día 4): Negativo. 
  • Crioglobulinas (día 4): pendiente. 
  • ANCA (día 4): Negativo. 
  • Proteinograma por electroforesis (día 4): proteínas totales 4.50 g%, albúmina 1.50 g%, alpha 1 globulinas 0.22g%, alpha 2 globulinas 0.22%, beta 1 haptoglobina 0.32 g%, beta 2 transferrina 0.27 g%, gamma/ inmunoglobulinas 1.70 g%, interpretación de proteinograma en suero: marcada disminución de albúmina, leve aumento policlonal de inmunoglobulinas.
  • Panel inmunológico para hepatopatía (día 4): 
    • -Ac. anti Miosina (LIA): pendiente
    • -Anticuerpos anti AMA-M2 (H): Pendiente
    • -Ac. anti SLA / LP (LIA): Pendiente
    • -Anticuerpos anti LKM: Pendiente
    • -Ac. anti LC 1 (LIA): Pendiente
    • -Ac. anti Sp 100 (LIA): Pendiente
    • -Ac. anti gp 210 (LIA): Pendiente
    • -Ac. anti F-actina (LIA): Pendiente
    • -Ac. anti Desmina (LIA): Pendiente

IMÁGENES

  • Ecocardiograma (día 4): Diámetro Telediastólico del VI: 51 mm. Diámetro Telesistólico del VI: 28 mm. Grosor TIV: 7 mm. Grosor PP: 7 mm. Aurícula Izquierda: 35 mm. Raíz Aórtica: 35 mm. Fracción de acortamiento VI: 45%. Fracción de eyección Teichholz: 71%. Masa de VI: 122 gr. Comentario:  Ventrículo izquierdo de dimensiones normales, espesor parietal normal. engrosamiento y contractilidad normal, FSVI global conservada. Aurícula izquierda de dimensiones normales. Ventrículo derecho de dimensiones normales, índices de función sistólica conservados (TAPSE mm. velocidad S del doppler tisular 13 cm/seg). Aurícula derecha de dimensiones normales. Ecogramas valvulares sin alteraciones, apertura y cierre normales. La válvula aórtica es trivalvar. Raíz aórtica de dimensiones normales. Pericardio sin alteraciones, sin derrame. Vena cava inferior de dimensiones normales con colapso inspiratorio conservado. Comentario: Mitral: flujo de morfología y velocidad máxima normal, función diastólica normal, sin reflujo. Aórtico: flujo de morfología y velocidad máxima normal, sin reflujo. Tricuspídeo: flujo de morfología y velocidad máxima normal, reflujo mínimo PS AP 26 MMHG.
  • Capilaroscopia (día 6): VISIBILIDAD: Buena. PATRÓN DOMINANTE: Esclerodermiforme tardío. DENSIDAD CAPILAR: Marcadamente disminuida. ÁREAS AVASCULARES: Sí, en los 8 dedos evaluados. ORGANIZACIÓN DEL LECHO CAPILAR: Desarreglo severo. HEMORRAGIAS: Única en tercer dedo de mano derecha. CIANOSIS: No. SCORE C-SUR. CONCLUSIÓN: Patrón esclerodermiforme tardío. Se evaluará iniciar tratamiento inmunosupresor y vasodilatador una vez superada la intercurrencia infecciosa.
  • Ecodoppler de hígado y eje esplenoportal (dia 6):  HÍGADO: estructura heterogénea, con incremento del grosor de los ecos, compatible con hepatopatía crónica. No se observa MOE en los segmentos visualizados. Eje esplenoportal permeable. Vena porta mide 14 mm de diámetro. El flujo es hepatópeto. Velocidad media promedio 7 cm/seg. Vena esplénica de calibre conservado con flujo hepatópeto con velocidad conservada. Venas supra-hepáticas permeables con morfología de la onda Doppler conservada. Moderada ascitis. BAZO: Esplenomegalia, de parénquima homogéneo. Con Eco Doppler Color se observa circulación colateral significativa a predominio periesplénico. VESÍCULA: no visualizada. VÍA BILIAR: de calibre conservado. PÁNCREAS: forma, tamaño, contornos y ecoestructura conservados. No se visualiza dilatación del Conducto de Wirsung.

OTROS ESTUDIOS:

  • Electrocardiograma (Día 3): ritmo sinusal, FC 80 lpm, ondas T negativas en V1-V2-V3-V4. Mala progresión de R en precordiales.
  • Electrocardiograma (Día 4): ritmo sinusal, FC 90 lpm, mala progresión de R en precordiales.
  • Electrocardiograma (Día 5): ritmo sinusal, FC 78 lpm,  mala progresión de R en precordiales.

Evolución:

Al ingreso por presentar al examen físico distensión abdominal, con signos de ascitis se realizó paracentesis diagnóstica y evacuadora (1 litro), donde se constató parámetros de peritonitis bacteriana espontánea, por lo que comenzó tratamiento empírico con Ceftriaxona.

El día 3 presentó un episodio de dolor torácico retroesternal, atípico, de intensidad 9/10 en clase funcional IV (acostada) con irradiación al hemitórax izquierdo, sin síntomas neurovegetativos acompañantes. Refirió además angustia y labilidad emocional. Se realizó electrocardiograma (A) con evidencia de ondas T negativas septoapicales. Fue evaluada por el Servicio de Cardiología quienes solicitaron curva de Troponina T ultrasensible  y ecocardiograma doppler interpretando el cuadro de origen no isquémico. Se mantuvo conducta expectante a la espera de realizar ecocardiograma bajo estrés para completar estudio etiológico. 

Presentó nuevo episodio de dolor torácico de similares características al día 3, de duración aproximada 20 minutos, que cedió espontáneamente. Se realizó nuevo electrocardiograma (B), sin cambios respecto al anterior manteniendo conducta terapéutica expectante. Hacia el día 4 se realizó nuevo electrocardiograma (C) en esta oportunidad sin los hallazgos previamente descritos

El día 5 el informe citofisicoquimico del líquido ascítico en la paracentesis de control informó mayor cantidad de elementos, sin aislamientos en cultivos previos, por lo que se decidió rotar antibioticoterapia a Vancomicina y Piperacilina Tazobactam. Además por cuadro de diarrea acuosa se tomaron muestras para coprocultivo y toxinas de Clostridium Difficile. 

Fue evaluada por el Servicio de Reumatología quienes realizaron capilaroscopia con evidencia de patrón esclerodermiforme tardío, manteniendo conducta terapéutica expectante. 

Hacia el día 7 se realizó nueva paracentesis para seguimiento de PBE con disminución de neutrófilos. Además por presentar una tomografía de Enero 2025 que informa neoformación expansiva en cérvix, la cual no se observa en ecografía transvaginal de Mayo 2025 ni en RMI de abdomen de Junio 2025, se solicita una nueva ecografía ginecológica endocavitaria, ecografía mamaria bilateral.

Pendientes: 

  • Electromiografía de miembros inferiores.
  • Videoendoscopia alta y colonoscopia. 
  • Ecografía ginecológica endocavitaria y mamaria bilateral
  • Cultivos y enzima adenosina desaminasa (ADA) de líquido ascítico dia 7.
  • Ecocardiograma bajo estrés.



 

Se presenta el caso de una paciente de 50 años quien refería antecedentes de colangitis biliar primaria (CBP) y esclerosis sistémica cutánea limitada (SScL), sin una clara adherencia a un servicio médico ni seguimiento de sus enfermedades. Ingresa por cuadro compatible con peritonitis bacteriana espontánea, y además al interrogatorio dirigido refiere pérdida de peso no voluntaria (aprox. 15 kg en el último año), parestesias y dolores en ambos miembros inferiores asociado a prurito crónico con abandono de la medicación (ácido ursodesoxicólico). La discusión del caso se basó inicialmente en determinar la jerarquía de su hepatopatía crónica, el perfil de autoinmunidad y el síndrome de impregnación.

Cirrosis

A la hora de analizar la hepatopatía crónica de la paciente, se observa que presenta manifestaciones tanto clínicas como analíticas compatibles con colangitis biliar primaria pero sorprende la negatividad de los anticuerpos antimitocondriales (AMA), los cuales se encuentran presentes en más del 90% de los casos. De esta forma, la bibliografía muestra que aquellos pacientes clasificados dentro de la colangitis biliar primaria con AMA negativos suelen estar asociados más frecuentemente a anticuerpos anti músculo liso (AML) y factor antinuclear (FAN) positivos, este último caso como es en nuestra paciente, y además estos suelen asociarse mayormente a otras enfermedades autoinmunes entre ellas síndrome de Sjögren (SS), tiroiditis de Hashimoto, artritis reumatoidea (AR) y SScL. Se sugiere para obtener el diagnóstico preciso de CBP el uso de la biopsia hepática y consecuente análisis histopatológico o también la presencia de autoanticuerpos antinucleares altamente específicos como gp210 o sp100.

Perfil de autoinmunidadSe describe un perfil tanto clínico como analítico de múltiples enfermedades autoinmunes como por ejemplo:

  • Síndrome de Sjögren: la paciente no presenta anticuerpos específicos como anti RO y anti LA, pero sí clínica de ojo seco y boca seca, además de un episodio previo de parotiditis que resolvió espontáneamente. A su vez, no es posible descartar otro compromiso por esta enfermedad sistémica como puede ser cutáneo/vasculítico, neuropático o pulmonar intersticial.
  • Enfermedad tiroidea: se observa el aumento de la TSH, con valores de T4 dentro de valores normales. Por no poder asociar la sintomatología a un hipotiroidismo, se esperan los resultados de los anticuerpos antitiroideos para poder definir el compromiso.
  • Síndrome antifosfolipídico (SAF): si bien la paciente no cumple criterios clasificatorios para SAF obstétrico y los resultados actuales de anticuerpos anticardiolipinas y anti B2-glicoproteína son negativos, es de gran importancia los antecedentes obstétricos (4 abortos) y el resto del perfil de autoinmunidad para definir si debe iniciarse prevención primaria con aspirina.
  • Fenómeno de Raynaud: la paciente no refiere al interrogatorio el clásico cambio de coloración trifásico pero sí de forma bifásica y con la capilaroscopia que confirma el compromiso severo y activo de la vasculopatía.
  • Esclerosis sistémica cutánea localizada: en este caso se remarca la importancia de entender a la patología de forma sistémica más allá de la clasificación cutánea. Es por eso que se analizan las imágenes pulmonares, sumado al compromiso de la electromiografía y las lesiones en piel con el fin de dilucidar la posibilidad de inicio de terapia inmunosupresora como por ejemplo micofenolato.

Síndrome de impregnación

La pérdida de peso requiere primeramente descartar origen neoplásico, el cual queda alejado por los exámenes complementarios, enfatizando la importancia del recuento hipocalórico que refiere la paciente probablemente por su compromiso esofágico y la ausencia de piezas dentarias. A su vez, se plantea la necesidad de establecer un plan nutricional con suplementos dietarios e ingesta hiperproteica para recuperar el estado funcional y la fuerza muscular.

Luego de realizar un extenso resumen sobre las posibles opciones de manejo en el caso presentado, se enfatiza sobre la importancia de la relación médico-paciente-familiar para poder cumplir con los requerimientos y la adherencia a los tratamientos y controles. Además resulta de extrema importancia nutrir las decisiones terapéuticas con participación de múltiples especialidades médicas siempre remarcando el rol de la clínica médica como eje transdisciplinario del manejo en estas situaciones complejas.

La paciente cursó internación en sala general por sindrome ascítico edematoso asociado a peritonitis bacteriana espontánea con requerimiento de paracentesis evacuadora, por lo que realizó tratamiento antibiótico con ceftriaxona durante 5 días rotando luego a vancomicina y piperacilina-tazobactam por persistencia de la misma, el cual realizó durante 8 días totales.

Por presentar múltiples exámenes complementarios previos inmunológicos positivos se profundiza estudio de enfermedades autoinmunes, con diagnóstico de esclerosis sistémica asociada a colangitis biliar primaria. Se obtuvo el siguiente resultado del panel de hepatopatía autoinmune: 

  • Ac.anti SLA/LP (LIA): Negativo
  • Anticuerpos anti LKM: Negativo
  • Ac. Anti LC: Negativo
  • Ac. Anti Sp100: Negativo
  • Ac. anti gp210: Negativo
  • Ac. anti AMA.M2: Positivo

Fue evaluada por Servicio de Gastroenterología quienes realizan videoendoscopia digestiva alta y videocolonoscopia con evidencia de esofagitis, gastropatía hipertensiva y várices esofágica, por lo que se indica protección gástrica y betabloqueantes.

Presentó como complicaciones durante la internación:

  • Episodios de dolor torácico con alteraciones en el electrocardiograma, por lo que presentó evaluación por Servicio de Cardiología quienes solicitan estudio eco-estrés siendo el mismo negativo,descartando vasoespasmo.
  • Lesiones en piel en miembros inferiores (púrpura palpable),por lo que se realiza biopsia cutánea,pendiente resultado de la misma. 
  • Dolor tipo neuropático en 4 miembros presentando diagnóstico de neuropatía axonal y evaluación por servicio de Neurología.

Por buen estado general,con mejoría analítica y clínica se decide su alta hospitalaria y seguimiento en consultorios externos de equipos tratantes (Clínica, Reumatología, Cardiología y Neurología)

Imagen

TAC de tórax con protocolo para Enfermedad Pulmonar Intersticial Difusa (EPID). Corte axial (02/06/25)

Imagen

RMI de abdomen Corte axial (08/06/25)

Imagen

Lesiones en cara

Imagen

Lesiones en cara

Imagen

Lesiones en cara

Imagen

Miembros superiores

Imagen

Miembros superiores

Imagen

Pies en garra, con telangiectasias y edema

Imagen

Electrocardiograma A: Día 3

Imagen

Electrocardiograma C: Dia 4

Imagen

Capilaroscopia día 5. Imagen brindada por Servicio de Reumatología

Presentado por
  • Camila Escobar - Antonela Kippes
Discusión
Fecha: 23 octubre 2025
A cargo de
  • Rodrigo Augsburger - Virginia Rahi
Volver a Seminarios