« Volver atrás

Varón joven con hipertensión arterial resistente y hemorragia intraparenquimatosa

Imagen Principal
Presenta:
Didier, Paula - Lacosta, Paula
Sin foto
Discusión a cargo:
Arce, Aneley - Consiglio, Francisco
Sin foto

Enfermedad actual: 

Paciente masculino de 37 años con antecedente de hipertensión arterial no adherente a tratamiento, es derivado desde el SAMCO de su localidad a la Guardia Externa de nuestro hospital por un cuadro de 2 horas de evolución caracterizado por cefalea hemicraneana derecha, de intensidad 10/10 tipo opresiva que no cede con analgésicos comunes, asociado a náuseas, también se constata una hemiparesia braquiocrural izquierda asociado a heminegligencia homolateral y parálisis del 6to par derecho. Por dicho motivo, a su ingreso se activa el protocolo de Stroke y se realiza Angio-tomografía de cráneo donde se evidencia hemorragia intraparenquimatosa por lo que se decide pase a Unidad de Terapia Intensiva para monitoreo y seguimiento por Servicio de Neurocirugía.

Antecedentes personales:  

  • Procedencia: Venezuela. Vive en Argentina desde hace 7 años.
  • Ocupación: pintor
  • Enfermedades del adulto: 
  • Hipertensión arterial diagnosticada en Agosto de 2025.
  • Internaciones previas: Niega.
  • Antecedentes Traumáticos: Niega.
  • Antecedentes Quirúrgicos: Niega.
  • Antecedentes Familiares: Niega.
  • Antecedentes Alérgicos: Niega. 
  • Medicación habitual: Enalapril 10 mg/día.
  • Vacunación: No se recaba.
  • Hábitos tóxicos:  tabaquista 20 paq/año.

Antecedentes familiares:

  • Padre: desconoce
  • Madre: hipertensa
  • Hermanos: 7, 1 hipertenso
  • Hijos/as: 3 sanos

Examen físico: Realizado en Sala General (día 11)

  • Impresión general: Buen estado general. 
  • Signos vitales: TA 170/120 mmHg, FC 87 lpm, FR 16 rpm, T°36.2 ºC, SatO2 96% (0.21) 
Peso: 110 kgAltura: 1.90 mIMC: 30
  • Piel: sin alteraciones pigmentarias, sin cicatrices.
  • Cabeza: Ojos: conjuntivas rosadas, escleras blancas. Movimientos oculares no dolorosos. Nistagmus horizontal derecho que agota. Fosas nasales: permeables sin secreciones ni epistaxis. Puntos sinusales negativos. Cavidad bucal: mucosas húmedas. Lengua central sin lesiones.
  • Cuello: cilíndrico, simétrico, no se palpan adenopatías ni tiroides. Sin ingurgitación yugular. Pulsos carotídeos simétricos, sin soplos. Catéter venoso yugular derecho
  • Tronco: diámetro anteroposterior normal, sin cicatrices. Columna: sonora, indolora. Puño-percusión: negativa bilateral. 
  • Aparato Respiratorio: respiración costo abdominal, sin utilización de músculos accesorios, reclutamiento abdominal, tiraje intercostal/supraclavicular, ni aleteo nasal. Expansión de bases y vértices conservada. Excursión de bases conservadas. Sonoridad conservada. Murmullo vesicular conservado, sin ruidos agregados.
  • Aparato Cardiovascular: ritmo cardíaco regular, ruidos cardíacos normofonéticos, sin soplos ni R3/R4.
  • Abdomen: abdomen plano, sin estigmas de circulación colateral ni cicatrices. Blando, depresible e indoloro. Sin visceromegalias. Timpanismo conservado. Traube libre Ruidos hidroaéreos conservados. 
  • Neurológico: Vigil, orientado persona y espacio, desorientado en tiempo . Lenguaje: nomina y repite. Comprende: comandos y órdenes complejas. Pupilas: isocóricas reactivas y simétricas. Movimientos oculares externos: compromiso de recto externo derecho. Con limitación de abducción. Nistagmo a derecha que agota. Pares craneales: Parálisis del 6to par derecho. Resto de pares craneales conservados. Reflejos osteotendinosos: positivos en los miembros evaluados. Sensibilidad:Hipoestesia braquio crural izquierda.. Coordinación:Dismetría bilateral. Respuesta plantar: indiferente bilateral. Hoffman: negativo bilateral. Marcha: inestable. Sin signos meníngeos. 
  • Extremidades: Superiores: Tono, trofismo y movilidad conservados. Pulsos conservados. Sin edema ni adenopatías. Inferiores: Tono, trofismo y movilidad conservados. Homans y Ollows negativos. Sin edemas ni adenopatías.
  • Región Perineal y genital: no se evalúa.


Exámenes Complementarios: 


 

Laboratorio:Día 0Día 4Día 11Día 13
Hemoglobina (g/dL)15.713.715.315.4
Hematocrito (%)44394345
VCM (fl)78.981.680.182.8
HCM (pg)28.128.428.425.8
Glóbulos blancos (/mm)14100101701471011400
Neutrófilos (%)918481-
Eosinófilos (%)002-
Basófilos (%)000-
Linfocitos (%)5911-
Monocitos (%)375-
Plaquetas (/mm)251000251000300000272000
Glicemia (mg/dl)1281149592
Urea (mg/dl)29453833
Creatinina (mg/dl)0.800.900.740.87
Sodio (mEq/l)139135133134
Potasio (mEq/I)3.783.484.304.42
Cloro (mEq/l)99979793
Calcio (mg/dL)9.49--
Fósforo (mg/dL)1.74.3--
Magnesio (mg/dL)1.92.6--
pH7.397.407.41-
pCO2 (mmHg)45.54340.5-
pO2 (mmHg)83.570.349.4-
Exceso de base (mmol/L)1.61.61.1-
HCO3 (mmol/L)27.126.625.6-
SatO2 (%)96.895.185.7-
Ácido láctico (mmol/L)1.841.321.17-
Bilirrubina total (mg/dL)0.290.920.600.55
TGO (UI/L)22---
TGP (UI/L)22---
FAL (UI/L)85---
GGT (UI/L)31---
Amilasa (UI/L)53---
CPK (UI/L)197---
LDH (UI/L)271---
VES (mm/1° hora)---72
PCR (mg/L)---12.6
TP (seg)12.513.914.1-
KPTT (seg)242427-
  • Electrocardiograma 12 derivaciones (Día 0): ritmo regular y sinusal, FC 75 lpm, eje cardíaco 30°,  intervalo PR 0.16 seg, segmento QRS 0.12 seg. Índice de Sokolow-Lyon 35 mm. 
  • Serologías VIH, VDRL, VHB, VHC (Día 0): no reactivas.
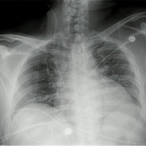
  • Radiografía de tórax (Día 0): rotada, sin consolidación pleuroparenquimatosa. Senos costofrénicos libres. Cateter de vía central en aurícula derecha.
  • Angio-TAC de cráneo con contraste EV (Día 0): Estudio marcadamente artefactado por movimientos del paciente, lo que disminuye la calidad diagnóstica del mismo. Se observa colección hemática a nivel parietal derecha que se extiende hasta topografía periventricular homolateral, asociada leve edema perilesional. Mide 5 cm CC x 2,7 cm DT x 2,7 cm AP. Además se observa otra colección de similares características, a nivel frontal mediana, que mide 1cm CC x 4,6 cm AP x 2,2 cm DT. Escasa hemorragia subaracnoidea bifrontal. Contenido hemático en línea interhemisférica y cisterna silviana. Estos hallazgos determinan un borramiento de surcos adyacentes, y un colapso parcial del ventrículo lateral derecho. Ligera desviación de la línea media hacia izquierda de 2 mm. Hemoventrículo. Ocupación hemática total del cuarto ventricular que determina un desplazamiento hacia anterior del tronco encefálico, generando un colapso parcial de cisternas cerebelo-pontina. Se realizó examen angiográfico de arterias del polígono y el sector posterior; el sistema vertebro basilar muestra su tamaño y morfología conservada; arteria vertebral derecha dominante; sin evidencia de alteraciones en proyección de arterias cerebrales posteriores. Ambas arterias cerebrales medias muestran su calibre conservado no evidenciándose áreas de estenosis ni dilataciones aneurismáticas sensibles a esta metodología diagnóstica. No se evidencian lesiones en proyección comunicante anterior ni en topografía de las arterias cerebrales anteriores. No se evidencian mal formaciones arteriovenosas. Sistema venoso conservado. Informe definitivo pendiente.
  • TAC de cráneo sin contraste EV (Día 1): Contamos con estudio previo de las últimas 24 horas a los fines comparativos. Persiste visualizándose de similar tamaño la colección hemática intraparenquimatosa parietal derecha con edema perilesional y vuelco hemático hacia el sistema ventrículo-cisternal, ocupando predominantemente astas ventriculares laterales homolaterales y en menor cuantía asta occipital izquierda donde forma un nivel liquido-liquido, con ocupación casi total del tercer y cuarto ventrículo. También se destaca una colección hemática extraaxial interhemisférica en región frontal, ya descrita en estudio precedente, de similar tamaño. Los hallazgos previamente descritos determinan efecto de masa, con colapso total del asta ventricular occipital derecha y parcial frontal homolateral, desplazamiento de la línea media en 2 mm hacia izquierda y colapso parcial de cisternas prepontinas. Todos estos cambios ya fueron visualizados y descritos en el estudio precedente.
  • Oftalmoscopia indirecta binocular (Día 2):: ambos ojos visión luz buena proyección. MOE conservados, PIRS, RFM conservado. Ambos ojos evaluados con lupa portatil: conjuntiva clara, córnea translúcida.
  • Fondo de ojo (Día 2): OD: papila de bordes difusos, excavación fisiológica, vasos tortuosos, hemorragias en astilla en los 4 cuadrantes, exudados blandos, mácula aparenta satisfactoria, retina aplicada. OI: papila bordes difusos 360 grados (mayor que ojo derecho) tortuosidad vascular, excavación fisiológica, hemorragias puntiformes en 4 cuadrantes y en llama sobre arcada temporal superior. Cruces arteriovenosos patológicos. Mácula aparenta ser satisfactoria, retina aplicada.
  • RMI de cráneo con contraste (Día 4): se visualiza hematoma intraparenquimatoso de contornos irregulares, con contenido en estadio agudo-subagudo, comprometiendo a la unión calloso-septal, en situación parasagital izquierda a nivel de centro semioval y corona radiada, esplenio del cuerpo calloso y predominantemente en región parieto occipital derecha. Se acompaña de discreto edema perilesional y se asocia a vuelco hemático en ambos ventrículos laterales y cuarto ventrículo. Lo antes dicho provoca efecto de masa desplazando a la línea media 6 mm hacia la izquierda y caudalmente al cuerpo del cuerpo calloso. También colapsa parcialmente a los ventrículos laterales. Escasa hemorragia subaracnoidea. Aisladas lesiones puntiformes hiperintensas en la sustancia blanca bifrontal, sin restricción en difusión/mapa ADC que, si bien resultan de aspecto inespecífico, podrían estar en relación a trastorno de la microvasculatura de larga data. Las regiones ganglio basales son de características habituales. El sistema ventricular supratentorial es amplio y asimétrico. En la fosa posterior el 4º ventrículo es de forma, tamaño y situación normal. No se observan alteraciones en la intensidad de la señal hemisferios cerebelosos los cuales son de morfología habitual. El tronco encefálico no mostró alteraciones. En la secuencia angiográfica 3D TOF las estructuras vasculares del polígono de Willis, son de trayecto, calibre y señal flujo conservados, no identificándose alteraciones. Arteria cerebral posterior derecha de origen embrionario. No se observan refuerzos patológicos tras la administración de contraste EV. Se realiza secuencia angiográfica venosa observándose trayecto irregular y discontinuo del seno sagital inferior, no obstante, no se reconocen cambios significativos entre la secuencia no contrastada. El resto de los senos venosos son de características habituales. 
  • Tomografía de cráneo sin contraste (Día 8): contamos con estudio previo del día 27/09/25. Persiste visualizándose de similar tamaño la colección hemática intraparenquimatosa parietal derecha con mayor edema perilesional. Se continúa visualizando de menor jerarquía, el vuelco hemático hacia las astas ventriculares laterales homolaterales. Escaso contenido hemático en 4to ventrículo, marcadamente de menor jerarquía que en TC previa, pero colapsado parcialmente. Esto último no está evidenciado en estudio previo. Ya no se visualiza vuelco hemático en 3er ventrículo. La colección hemática extraaxial interhemisférica en región frontal, ya descrita en estudio precedente, se encuentra con menor contenido hemática que en TC previa. Los hallazgos previamente descritos determinan efecto de masa, con colapso total del asta ventricular occipital derecha y parcial frontal homolateral, desplazamiento de la línea media, en esta ocasión de 6 mm (antes de 2 mm) hacia izquierda y colapso parcial de cisternas preponías. No se evidencian alteraciones densitométricas en cerebelo. Aspecto normal del tronco encefálico. No se observan alteraciones en las estructuras óseas de la calota craneana. Informe definitivo pendiente. 
  • Perfil tiroideo (Día 10): TSH 0.96 uUI/ml. T4 libre 1.98 ng/dl.
  • Orina 24 hs (Día 11): proteinuria 1.68 gr/24hs, creatininuria 1999.20 mg/24hs, urea 45 g/24hs, sodio urinario 312 mEq/24hs, potasio urinario 71.48 mEq/24hs, diuresis 4000 ml/24hs, Clearance de creatinina 169 ml/min, Cloro 304 mEq/24hs.
  • Ecocardiograma (Día 12): examen apical. Ventrículo izquierdo de dimensiones normales, espesor parietal normal engrosamiento y contractilidad normal. Fsvi global conservada. FEY 70 -75 % aurícula izquierda de dimensiones normales. Volumen de AI 33 ml/ ventrículo derecho de dimensiones normales. Aurícula derecha de dimensiones normales. Ecogramas valvulares sin alteraciones. Apertura y cierre normales de raíz aórtica de dimensiones normales. Aorta ascendente y cayado aórtico normal con flujo laminar pericardio sin alteraciones, sin derrame. Vena cava inferior de dimensiones normales con colapso inspiratorio conservado. Mitral: flujo de morfología y velocidad máxima normal. Función diastólica normal. Sin reflujo. aórtico: flujo de morfología y velocidad máxima normal. Sin reflujo. Tricuspídeo: flujo de morfología y velocidad máxima normal. Pulmonar: flujo de morfología y velocidad máxima normal. Sin reflujo.
  • Electrocardiograma  (Día 12): ritmo regular y sinusal, FC 85 lpm, eje cardíaco conservado,  intervalo PR 0.8 seg, segmento QRS 0.8 seg. Índice de Sokolow-Lyon 40 mm. 
  • Hemocultivos x2 (Día 12): pendiente
  • Urocultivo (Día 12): pendiente
  • Cultivo de punta de catéter (Día 12): cocos gram positivos, informe preliminar.


Evolución: .

El día 0 es derivado al servicio de Guardia Externa por cefalea hemicraneana derecha y náuseas de 2 horas de evolución. A su ingreso, se constata paresia braquiocrural izquierda asociado a heminegligencia homolateral y parálisis del 6to par derecho.Por dicho cuadro se activa el protocolo de Stroke y se realiza una Angio TAC de cráneo con contraste EV donde se evidencia una hemorragia intraparenquimatosa parieto-occipital derecha con vuelco ventricular, por lo que se decide su internacion en Unidad de Terapia Intensiva.

Allí cursó internación durante 10 días sin requerimiento de vasoactivos ni vinculación a asistencia mecánica respiratoria. Es evaluado por el Servicio de Neurocirugía quienes descartan conducta quirúrgica e indican seguimiento clínico-imagenológico. Como complicación presentó hipertensión arterial de mal control por lo que requirió nitroprusiato de sodio endovenoso y labetalol por bomba de infusión continua, en tratamiento paralelamente con 5 drogas antihipertensivas vía oral: Atenolol, Amlodipina, Losartán, Espironolactona y  Terazosina.

Para su estudio, se solicitó una orina de 24 hs con dosaje de ácido vainillin mandélico, con autorización pendiente al momento.

El día 11 de internación por buena evolución clínica y analítica se decide su pase a Sala General para continuar estudios y seguimiento. Al examen físico se constata registro hipertensivo de 170/110 mmHg, catéter venoso yugular derecho, desorientación temporal, nistagmus horizontal derecho que agota, parálisis del 6to par homolateral, hipoestesia braquio crural izquierda, dismetría bilateral e inestabilidad en la marcha. Para completar estudio etiológico de hipertensión arterial, se solicita Angio RMI de tórax y abdomen para estudio de arterias renales, glándulas suprarrenales y descartar coartación de aorta.

Además, se solicita evaluación por el Servicio de Cardiología quienes le solicitan un Ecocardiograma y nuevo Electrocardiograma y se realiza en conjunto con nuestro servicio modificación de tratamiento disminuyendo espironolactona, suspendiendo atenolol y terazosina y agregando al esquema antihipertensivo carvedilol, alfa metildopa e hidroclorotiazida.

El día 12 de internación presentó un registro febril, por lo que se decidió tomar hemocultivos, urocultivo y retirar vía central para cultivo de punta, con antibioticoterapia expectante por buen estado general.

Al día 14 de internación evoluciona afebril con presión arterial de 150/100 mmHg y al examen neurológico presenta persistencia de parálisis del 6to par derecho, nistagmus horizontal que agota, desorientación en tiempo, e inestabilidad leve en la marcha, con sensibilidad conservada.

Pendientes: 

  • Seguimiento de cultivos
  • Nuevo ecocardiograma
  • Angio RMI de torax y abdomen con contraste
  • Orina con ácido vainillin mandélico y metanefrinas urinarias.

No hay información de la discusión.

No hay información de la evolución.

Electrocardiograma DÍA 0

Electrocardiograma DÍA 0

Radiografía de tórax al ingreso (Día 0)

Radiografía de tórax al ingreso (Día 0)

Angio TAC de cráneo con contraste IV corte axial (Día 0):

Angio TAC de cráneo con contraste IV corte axial (Día 0):

Fondo de ojos (Dia 2): Ojo derecho

Fondo de ojos (Dia 2): Ojo derecho

Fondo de ojos (Dia 2): Ojo izquierdo

Fondo de ojos (Dia 2): Ojo izquierdo

RMI de cráneo con contraste (Día 4): corte axial

RMI de cráneo con contraste (Día 4): corte axial

RMI de cráneo con contraste (Día 4): corte axial

RMI de cráneo con contraste (Día 4): corte axial

Tomografía de cráneo sin contraste (Dia 8): corte axial

Tomografía de cráneo sin contraste (Dia 8): corte axial

Tomografía de cráneo sin contraste (Dia 8): corte axial

Tomografía de cráneo sin contraste (Dia 8): corte axial

Electrocardiograma Dia 12

Electrocardiograma Dia 12

Electrocardiograma Dia 12

Electrocardiograma Dia 12

Electrocardiograma Dia 12

Electrocardiograma Dia 12

Electrocardiograma Dia 12

Electrocardiograma Dia 12

Electrocardiograma Dia 12

Electrocardiograma Dia 12

Electrocardiograma Dia 12

Electrocardiograma Dia 12