Enfermedad actual:
Interrogatorio dirigido a familiar acompañante (madre)
Mujer de 23 años de edad sin antecedentes de jerarquía ingresa a la guardia general traída por sus padres por cuadro de 10 días de evolución caracterizado por dos episodios de vómitos alimenticios autolimitados asociado a cefalea holocraneana de intensidad moderada que en los últimos 3 dias agrega inestabilidad de la marcha, desorientación temporoespacial, conductas inapropiadas, debilidad muscular a predominio distal y somnolencia. Niega fiebre, disnea, tos, rigidez de nuca y otros síntomas asociados.
Cabe destacar que 48 hs previas consultó en otro efector donde se interpretó cuadro como neumopatía infecciosa por lo que se le indicó claritromicina.
Antecedentes personales:
Examen físico:
Exámenes Complementarios:
LABORATORIO:
| Día 0 | Día 1 | Día 3 | Día 9 | Día 13 | |
| Hemoglobina (g/dL) | 14.4 | 11.5 | 12.4 | 10.9 | 13.0 |
| Hematocrito (%) | 42 | 34 | 36 | 32 | 37 |
| VCM (fl) | 87 | 86.6 | 86.9 | 87.1 | 87.4 |
| HCM (pg) | 30.2 | 29.6 | 30.1 | 29.9 | 30.4 |
| Glóbulos blancos (/mm) | 10460 | 8390 | 6920 | 10030 | 7360 |
| Neutrófilos (%) | - | - | 45 | 77 | 46 |
| Eosinófilos (%) | - | - | 18 | 0 | 2 |
| Basófilos (%) | - | - | 1 | 0 | 0 |
| Linfocitos (%) | - | - | 30 | 15 | 43 |
| Monocitos (%) | - | - | 7 | 7 | 7 |
| Plaquetas (/mm) | 239000 | 194000 | 205000 | 201000 | 206000 |
| Glicemia (mg/dl) | 90 | 90 | 94 | 116 | 76 |
| Urea (mg/dl) | 20 | 10 | 8 | 22 | 28 |
| Creatinina (mg/dl) | 0.61 | 0.41 | 0.38 | 0.37 | 0.36 |
| Sodio (mEq/l) | 132 | 136 | 138 | 141 | 136 |
| Potasio (mEq/I) | 4.06 | 3.87 | 4.32 | 3.89 | 3.43 |
| Cloro (mEq/l) | 92 | 101 | 101 | 105 | 101 |
| Calcio (mg/dL) | 8.9 | - | - | 8.5 | 8.5 |
| Fósforo (mg/dL) | 4.1 | - | - | 1.7 | 2.2 |
| Magnesio (mg/dL) | 2.2 | - | - | 2.3 | 2.1 |
| pH | - | - | - | - | 7.368 |
| pCO2 (mmHg) | - | - | - | - | 47.5 |
| pO2 (mmHg) | - | - | - | - | 41.9 |
| Exceso de base (mmol/L) | - | - | - | - | 0.9 |
| HCO3 (mmol/L) | - | - | - | - | 26.7 |
| SatO2 (%) | - | - | - | - | 74.8 |
| Ácido láctico (mmol/L) | - | - | - | - | 1.36 |
| Bilirrubina total (mg/dL) | 0.25 | 0.39 | 0.25 | - | - |
| TGO (UI/L) | 16 | - | 12 | - | - |
| TGP (UI/L) | 10 | - | 6 | - | - |
| FAL (UI/L) | 93 | - | 73 | - | - |
| GGT (UI/L) | 13 | - | 13 | - | - |
| Amilasa (UI/L) | 45 | - | - | - | - |
| Proteínas totales (g/dL) | - | - | - | - | 5.6 |
| Albúmina (g/dL) | - | - | - | - | 3.5 |
| CPK (UI/L) | 35 | - | - | - | - |
| LDH (UI/L) | 185 | - | - | - | - |
| VES (mm/1° hora) | 16 | - | - | - | - |
| PCR (mg/L) | 1.6 | - | 2.4 | - | - |
| TP (seg) | 13.8 | - | - | - | - |
| KPTT (seg) | 29 | - | - | - | - |
| Día 0 | Día 2 | Día 4 | Día 11 | |
| Aspecto pre centrifugado | limpio incoloro | xantocrómico opalescente | cristal de roca | cristal de roca |
| Aspecto post centrifugado | ligeramente xantocrómico | incoloro limpio con sedimento hemático | cristal de roca | - |
| Glucorraquia | 0.59 g/l | 0.60 g/l | 0.59 g/l | 0.82 g/l |
| Proteinorraquia | 1.84 g/l | 1.97 g/l | 1.76 g/l | 0.59 g/l |
| Reacción de pandy | 3+ | 2+ | 1+ | 1+ |
| Recuento total de elementos | 30 /mm3 | 50 /mm3 | 7 /mm3 | 15 /mm3 |
| Mononucleares | 98% | 98% | - | - |
| Polimorfonucleares | 2 | 2 | - | - |
| Tinta china | negativo | - | - | - |
| VDRL | negativo | - | - | - |
| Observaciones | - | - | predominio mononucleares | - |
DIAGNÓSTICO POR IMÁGENES:
Otros:
Evolución:
Cursa internación por sospecha de meningoencefalitis/romboencefalitis por lo que se inició tratamiento empírico con aciclovir y meropenem por antecedente de alergia mayor a la amoxicilina, luego de realización de punción lumbar y tomografía de cráneo. Por presentar alteración del sensorio fluctuante se decide su pase a la Unidad de Cuidados Intermedios.
Al día 2 se realiza una resonancia magnética de cráneo, que evidenció múltiples lesiones con compromiso de sustancia blanca periventricular, yuxtacortical, cuerpo calloso y protuberancia sugestivas de proceso desmielinizante o patología infecciosa. Además se repitió punción lumbar que evidenció mayor proteinorraquia y pleocitosis mononuclear. Se solicitaron estudios de líquido cefalorraquídeo (FilmArray), análisis inmunológicos (FAN, FR, ANCA, C3/C4, crioglobulinas) y serologías para Chlamydia/Mycoplasma que resultaron negativos y se obtuvo cultivo para gérmenes comunes de LCR negativo. Se deriva muestra de líquido cefalorraquídeo para análisis de bandas oligoclonales, y se solicitan anticuerpos anti-acuaporina 4 y anticuerpos anti-MOG (pendientes al día de la fecha).
Para descartar patología neoplásica primaria con compromiso de sistema nervioso central se realizó tomografía de tórax, abdomen y pelvis que no evidenció lesiones.
Hacia el día 3 de internación se amplía interrogatorio epidemiológico a los familiares recabando la información que la paciente viajó recientemente a Buenos Aires y Entre Ríos. Por este nexo se solicitan estudios para arbovirosis y encefalitis virales emergentes (Virus del Nilo, Encefalitis Equina, San Luis y Dengue), que resultaron negativos.
Por Film-Array y cultivo de LCR negativo se decide suspender aciclovir y meropenem.
Durante el día 4, la paciente presenta progresión de bradipsiquia, bradilalia, debilidad generalizada y agrega focalidad motora con paresia braquio-crural derecha 3/5, por lo que se realiza nuevo estudio de líquido cefalorraquídeo, que muestra leve mejoría de parámetros inflamatorios y electroencefalograma que informa patrón lentificado difuso con brotes de ondas lentas generalizadas. por dicho motivo inicia tratamiento anticomicial (levetiracetam). Se decide repetir resonancia magnética que muestra nuevas lesiones en sustancia blanca bifrontal derecha sin cambios de jerarquía en lesiones previas. Se realiza citometría de flujo sin evidencia de células monoclonales. En este contexto, y ante ausencia de datos sugerentes de infección activa (incluyendo GenXpert para tuberculosis negativo), y por sospecha de enfermedad autoinmune se decide iniciar pulso con 1 gr de metilprednisolona el cual realiza durante 5 días.
En los días siguientes se evidencia mejoría en el estado y el contenido de la conciencia, se alimenta, se sienta con ayuda, mejora la fuerza braquio-crural derecha 4/5. Presenta disminución de proteinorraquia y elementos inflamatorios en lìquido cefalorraquídeo. Continúa con corticoterapia con prednisona 40 mg/día.
Hacia el día 13, en contexto de buena respuesta pero parcial al pulso de corticoides se decide continuar terapéutica e iniciar de plasmaféresis en plan de realizar 5 ciclos.
Pendientes:
En el siguiente caso estamos frente a una mujer joven sin antecedentes de jerarquía con alteración en el contenido de la conciencia, con hallazgos de multifocalidad en el examen físico, pleocitosis en el LCR (líquido cefalorraquídeo) a predominio linfocitario, con proteinuria moderada que con dichos datos podemos representar al problema como ENCEFALITIS.
Las causas de encefalitis podemos dividirlas en:
Causas infecciosas: verdaderas urgencias infectológicas. Pueden ser bacterianas: listeria, meningococo, neumococo, y otros; parasitarias y fúngicas en inmunocomprometidos. Las causas virales son las más frecuentes con una larguísima lista que por frecuencia encabeza el virus Herpes Simplex.
El virus Herpes Simplex genera altísima morbimortalidad por daño inmunomediado. Se caracteriza por la alteración mental y del estado de conciencia, fiebre y convulsiones. El LCR presenta pleocitosis linfocitaria y proteinorraquia elevada. En la resonancia magnética (RMI) las lesiones típicamente son en lóbulos frontales y temporales a nivel cortical y subcortical. El diagnóstico es mediante PCR en LCR, de haber alta sospecha las guías recomiendan repetir la misma dentro de las 48 a 72 hs. Su tratamiento es con aciclovir durante 14-21 días.
Otros virus solicitados en este caso por nexo epidemiológico dado el antecedente de viaje reciente son:
Las arbovirosis como el virus de San Luis y West Nile son transmitidas por el mosquito culex y su huésped son aves. El cuadro clínico se caracteriza por síndrome febril + encefalitis. El LCR presenta pleocitosis linfocítica moderada con aumento leve/moderado de proteínas. La RMI: suele afectar a los ganglios de la base, tálamos, tronco y cerebelo. El diagnóstico es serológico y el tratamiento es de sostén. En nuestro país la última alerta nacional por brote de encefalitis de San Luis fue en el año 2015 y por West Nile en 2006.
La encefalitis equina del oeste es una virosis reemergente transmitida por un alphavirus cuyo vector es el mosquito Culex y algunos géneros de aedes. Su huésped son aves y mamíferos. Se presenta como síndrome febril con encefalitis. El LCR pleocitosis linfocitaria e hiperproteinorraquia. La RMI muestra inflamación en tálamo y ganglios de la base. El diagnóstico es por PCR o serología y el tratamiento es de sostén.
El virus dengue también es reemergente y frecuente en nuestra región en época estival. Dentro de su presentación clínica de síndrome febril en algunos casos puede manifestarse con encefalitis asociada, se diagnostica con serología y su tratamiento es sostén.
Una vez descartadas las causas infecciosas y teniendo en cuenta el tipo de lesiones presentes en la RMI que son de tipo desmielinizante estamos obligados a pensar en las causas no infecciosas de encefalitis que son las inmunomediadas.
Las encefalitis autoinmunes son actualmente la causa más frecuente de encefalitis, inclusive más que la herpética. Se dividen en las que están relacionadas con el cáncer que son verdaderos síndromes paraneoplásicos como las anti-Hu, anti-Yo, anti-Ri, entre tantísimos.
Las que no están relacionadas al cáncer como la encefalitis por contraer receptor NMDA que se manifiesta más frecuentemente en mujeres jóvenes con síntomas neuropsiquiátricos. El LCR presenta pleocitosis linfocítica. El electroencefalograma manifiesta actividad lenta y sostenida, y las lesiones en la RMI realzan a nivel cortical, subcortical (hipocampo, ganglios basales, sustancia blanca). El diagnóstico es mediante la detección del anticuerpo en LCR y su tratamiento es inmunomodulador.
Las encefalitis asociadas a patrón desmielinizante son las MOGAD es decir relacionadas al anticuerpo MOG. “Mog” es un componente menor de la mielina y se expresa en los oligodendrocitos, pertenece a las inmunoglobulinas y es altamente inmunogénico. Dentro del espectro se encuentran: la encefalomielitis aguda diseminada (ADEM), neuromielitis óptica no relacionada al anticuerpo AQP4, la mielitis transversa.
El ADEM puede aparecer posterior a una infección previa o post vaccinal. Se presenta como déficits multifocales sensitivos, motores y del tronco, cefalea, malestar, ataxia, afasia, neuritis óptica, nistagmus, síntomas extrapiramidales, convulsiones.
La RMI muestra lesiones hiperintensas en T2 y FLAIR a nivel periventricular y subcortical, incluido el cuerpo calloso y el centro semioval, así como en la sustancia gris, incluida la corteza, los ganglios basales y el tálamo. Las lesiones infratentoriales en el tronco encefálico, el cerebelo y la médula espinal son comunes. Suelen tener realce con gadolinio. Difusión restringida.
El LCR es variable con pleocitosis linfocítica y proteínas elevadas. En el diagnóstico la clínica es clave con progresión aguda y rápida de la encefalopatía y hallazgos neurológicos multifocales. La presencia de los anticuerpos y la RMI con hallazgos de desmielinización. Es un diagnóstico de exclusión.
El tratamiento agudo de las encefalitis inmunomediadas es con inmunosupresión mediante pulso de metilprednisolona asociado, de acuerdo a la gravedad y progresión del cuadro, a plasmaféresis o inmunoglobulina endovenosa.
El pronóstico es variable y se debe aguardar entre 4-6 semanas posteriores al tratamiento para esperar respuesta.
Si bien las encefalitis autoinmunes en la actualidad son la causa más frecuente de encefalitis es de alto consenso iniciar al ingreso tratamiento empírico antimicrobiano y antiviral hasta obtener los resultados etiológicos.
En nuestro caso dada la evolución, y la respuesta favorable posterior a la plasmaféresis asociado a lesiones desmielinizantes, aguardar los anticuerpos anti-MOG podrían confirmar el principal diagnóstico que se sospecha.
No hay información de la evolución.

Electrocardiograma DÍA 0

Radiografía de tórax DÍA 0

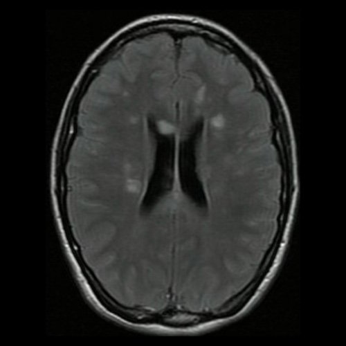
Día 2: RMI de cráneo (T2 Flair-corte axial). Lesiones hiperintensas nodulares sólidas en sustancia blanca en centros semiovales y cuerpo calloso.

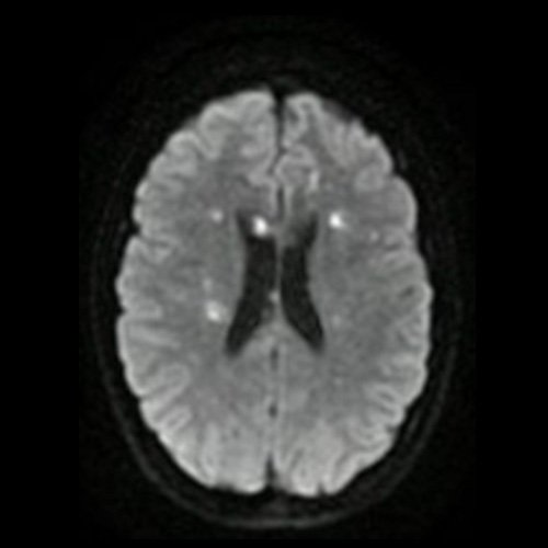
Día 2: RMI de cráneo (difusión – corte axial). Lesiones nodulares sólidas en sustancia blanca en centros semiovales y cuerpo calloso con restricción en difusión.

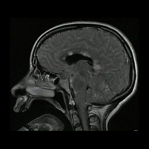
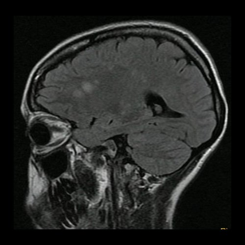
Día 2: RMI de cráneo ( T2 Flair – corte parasagital). Lesiones hiperintensas nodulares sólidas en cuerpo calloso en protuberancia.centros semiovales y cuerpo calloso con restricción en difusión.

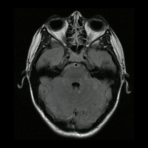
Día 2: RMI de cráneo ( T2 Flair – corte axial). Lesiones hiperintensas nodulares sólidas en protuberancia, pedúnculos cerebelosos y hemisferios cerebelosos.

Día 5: RMI de cráneo (T2 Flair – corte parasagital). Lesiones hiperintensas nodulares sólidas en región frontal.