« Volver atrás

Mujer de 59 años, con antecedente de HIV y lesión ocupante de espacio hepática

Imagen Principal
Presenta:
Paula Gargano - Juan Ignacio Rodriguez Lia
Sin foto
Discusión a cargo:
Rodrigo Augsburger - Virginia Rahi
Sin foto

Enfermedad actual:

Mujer de 59 años que consulta a la guardia externa por cuadro de una semana de evolución caracterizado por astenia progresiva que exacerba su intensidad en las últimas 72 hs, asociado a registros subfebriles intermitentes. Refiere sudoración nocturna y pérdida de peso de aproximadamente 15 kg en los últimos 3 meses. Niega náuseas, vómitos, diarrea, disnea, tos y otros síntomas acompañantes. 

Cabe destacar que se  cursó internación reciente para estudio de sindrome constitucional durante la cual se realizó punción-biopsia de masa ocupante de espacio hepático, pendiente el resultado de la misma.

Antecedentes personales

  • Enfermedades del adulto: 
    • VIH diagnosticado en 1997. Realizó múltiples esquemas antirretrovirales con adherencia y control irregular. Último esquema: dolutegravir + darunavir + ritonavir. 
    • Insuficiencia cardíaca con FEY 40%. 
    • Linfoma no hodgkin diagnosticado en 2003. Realizó quimioterapia (no recuerda esquema ni presenta historia clínica) con posterior remisión en 2005. 
  • Internaciones previas:
    • Diciembre de 2023: internación en Hospital Centenario por debut de insuficiencia cardíaca global a predominio derecho. Realizó balance negativo con buena evolución debiendo continuar controles por ambulatorio. 
    • Junio 2025: hallazgo imagenológico de MOE hepática por TAC de abdomen
    • Agosto 2025: Sindrome constitucional asociado a MOE hepática en estudio. Se realiza endoscopia alta y baja, sin hallazgos de jerarquía y toma de biopsia de masa ocupante de espacio hepático. 
  • Antecedentes Traumáticos: Niega 
  • Antecedentes Quirúrgicos: Niega
  • Antecedentes Familiares: 
    • Gestas 2, partos 2.
    • Padre: fallecido a los 60 años por cáncer en SNC (sin más datos)
    • Madre: viva, hipotiroidea. 
    • Hermanas/os: 1 fallecido por complicaciones de EPOC. 1 vivo y sano. 
    • Hijos/as: 2 sanos. 
  • Antecedentes Alérgicos: refiere alergia a corticoides (sin más datos)
  • Medicación habitual: carvedilol 6.25 mg cada 12 hs, pantoprazol 40 mg/día, tramadol 50 mg cada 5 hs, tratamiento antirretroviral: dolutegravir + darunavir + ritonavir. 
  • Vacunación: no recuerda

HÁBITOS: 

Tabaquismo: Ex tabaquista de jerarquía (42 paq/año)Alcohol: Niega
Otras drogas: Niega

Examen físico:

  • Impresión general: Regular estado general
  • Signos vitales: TA 120/80 mmHg, FC 70  lpm, FR 16 rpm, T° 36.2ºC, SatO2 98% (0.21) 
     
Peso: 65 kgAltura: 1.60cmIMC: 25


Piel: sin alteraciones pigmentarias, sin cicatrices.

  • Cabeza: Ojos: conjuntivas rosadas, escleras blancas. Movimientos oculares no dolorosos. Fosas nasales: permeables sin secreciones ni epistaxis. Puntos sinusales negativos. Cavidad bucal: mucosas húmedas. Lengua central sin lesiones.
  • Cuello: cilíndrico, simétrico, no se palpan adenopatías ni tiroides. Sin ingurgitación yugular. Pulsos carotídeos simétricos, sin soplos.
  • Tronco: diámetro anteroposterior normal, sin cicatrices. Mamas: sin nódulos ni depresiones, ni secreción por pezón. Columna: sonora, indolora. Puño-percusión: negativa bilateral. 
  • Aparato Respiratorio: respiración costo abdominal, sin utilización de músculos accesorios, reclutamiento abdominal, tiraje intercostal/supraclavicular, ni aleteo nasal. Expansión de bases y vértices conservada. Excursión de bases conservadas. Sonoridad conservada. Murmullo vesicular conservado, sin ruidos agregados.
  • Aparato Cardiovascular: ritmo cardíaco regular, ruidos cardíacos normofonéticos, sin soplos ni R3/R4.
  • Abdomen: abdomen plano, sin estigmas de circulación colateral ni cicatrices. Blando, depresible e indoloro. Timpanismo conservado. Ruidos hidroaéreos conservados. Esplenomegalia. Presencia de hepatomegalia 2 traveses de dedo por debajo del reborde costal. 
  • Neurológico: Vigil, orientado en tiempo, espacio y persona. Lenguaje: nomina y repite. Comprende: comandos y órdenes complejas. Pupilas: isocóricas reactivas y simétricas. Movimientos oculares externos: completos. Pares craneales: impresionan conservados. Reflejos osteotendinosos: positivos en los miembros evaluados. Sensibilidad: táctil superficial conservada. Coordinación: sin alteraciones. Respuesta plantar: indiferente bilateral. Hoffman: negativo bilateral. Marcha: conservada. Sin signos meníngeos.
  • Extremidades: Superiores: Tono, trofismo y movilidad conservados. Pulsos conservados. Sin edema ni adenopatías. Inferiores: Tono, trofismo y movilidad conservados. Homans y Ollows negativos. Sin edemas ni adenopatías.
  • Región Perineal y Genital: no evaluado


Exámenes Complementarios previos: 

  • Ecocardiograma (2023): FEY 40%. DDVI 59. PP 8 MASA VI 201. DSVI 46. TIV 9. AI 52 ml/m3. dilatado leve. Hipocinesia difusa. FSVI deprimida moderada. Al dilatada. VD de dimensiones normales. IFS deprimida (TAPSE 10 cm/seg) AD de dimensiones normales. Esclerosis VAo.  RAo de dimensiones normales. VCI de dimensiones normales con colapso inspiratorio parcial. Doppler: Mitral: función diastólica normal. Ins. moderada (E: 99 m/s, 0.57 m/s, E/A 1.74,G. regurgitacion II). AO: sin reflujo (Vmax 1.07 M/S, Gmax 5 mmHg). Tricuspídeo: morfología y velocidad normal. Reflujo moderado, hipertensión moderada. (G regurgitación: III VMax regurgitación 3.2 m/s). Pulmonar: flujo de morfología y velocidad máxima normal. Ins leve (gradiente VD-AD: 40.96 mmHg, PAPs estimada: 55 mmHg). 
  • ProBNP (2023): 31675 pg/ml
  • Carga viral (dos meses previos a la internación actual): 127 CD4 - 14.191 copias
  • TAC senos paranasales (un mes atrás): Se visualiza ocupación completa del seno maxilar derecho con algunas áreas hiperdensas, de aspecto cálcico. Además se visualiza ocupación de celdillas etmoidales derechas. Halagos en relación a sinusopatía. Ligero engrosamiento del seno maxilar izquierdo. Complejo ostiomeatal derecho ocupado. Los senos frontales, esfenoidales, celdas etmoidales y senos maxilares están correctamente neumatizados y desarrollados. El complejo ostiomeatal izquierdo está libre. Los cornetes superior, medio e inferior son normales. No se identifican refuerzos patológicos luego de la administración de contraste E.V. Las coanas están libres. El tabique nasal desviado hacia la derecha. La apófisis crista galli es simétrica.Lámina cribosa tipo Keros II.
  • TAC tórax (un mes atrás):La porción visualizada de la glándula tiroides es de características normales. Las estructuras vasculares paraaórticas son de características normales, permeables. La aorta ascendente, el cayado y la aorta descendente son de calibre y trayectoria conservados. Las estructuras venosas mediastinales: vena cava superior, vena cava inferior, venas pulmonares superiores e inferiores y venas ácigo-hemiácigos, son de calibre y trayecto conservado. La arteria pulmonar y sus ramas son de calibre y trayecto conservados.. Relación aórtico-pulmonar conservada. El corazón es de tamaño normal. El pericardio es de espesor conservado. El esófago es de calibre y trayecto normales. El mediastino está en posición central. Estructuras ganglionares pre y laterotraqueales, subcarinales, axilares bilaterales, aumentadas en número y de tamaño, algunas de ellas de rango megálico, destacándose una axilar izquierda con pérdida de la morfología habitual que mide 10 mm en su eje corto.
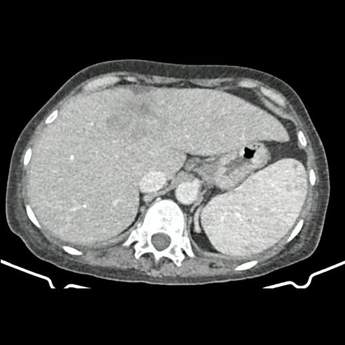
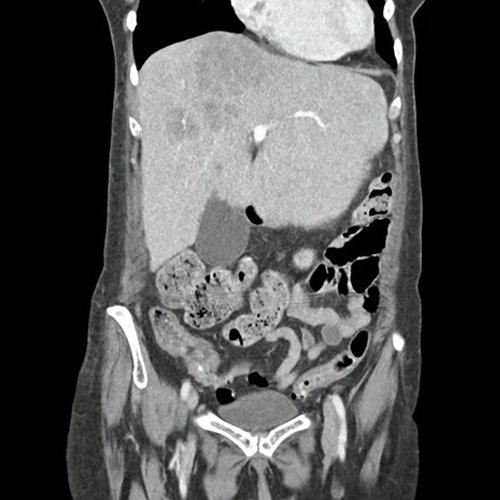
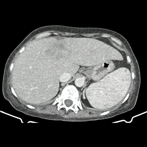
  • TAC abdomen con contraste (un mes atrás): Múltiples estructuras ganglionares retroperitoneales, pre y lateroórticas, hiliares hepáticas y esplénicas aumentadas en número y de tamaño, de rango no megálico. El hígado es de forma, tamaño y situación habituales. Sus bordes son agudos. Se observa en segmento IV a –IVb, una lesión nodular hipodensa, ligeramente heterogénea, subcapsular, de bordes parcialmente definidos, con tendencia a homogeneizar con respecto al parénquima adyacente en fase de equilibrio. Mide 5,3 cm CC x 4 cm DT  x 3,7 cm AP. Hallazgos que podrían corresponder en primera instancia secundarismo hepático sin poder descartar otras etiologías. La vía biliar intra y extrahepática es de calibre conservado. La vesícula biliar es de forma, tamaño y situación normales, sin imágenes que sugieran la presencia de litiasis. Tener en cuenta que este método puede pasar por alto litiasis colesterínicas. Esplenomegalia homogénea. El eje esplenoportal es de calibre y trayecto conservado. El páncreas es de características normales. El conducto de Wirsung es de calibre conservado. Las glándulas adrenales son normales. Ambos riñones son de forma, tamaño y situación habituales. Sin evidencia de alteraciones calicopiélicas ni ureterales. La aorta, las arterias ilíacas primitivas, internas, externas y femorales, son de calibre y trayecto conservado. Trombos murales y calcificaciones parietales aortoiliacas. La vena cava inferior y las venas ilíacas primitivas, internas, externas y femorales son de calibre y trayecto conservados. Aisladas formaciones diverticulares en colon sigmoides, sin cambios inflamatorios al momento del examen. La vejiga escasamente replecionada, sonda balón en su interior. El útero es de forma, tamaño y situación conservada, en AVF, sin alteraciones densitométricas. No se observan alteraciones en topografía anexial. No se observa líquido libre ni neumoperitoneo Flebolitos pelvianos.
  • Videoendoscopia digestiva alta (un mes atrás): Hernia de hiato de 3 cm. Mucosa normal. Estómago: antro con mucosa normal, en cuerpo y fundus se observa mucosa edematosa con parches de eritema. Duodeno: bulbo y 2da porción con mucosa normal. Conclusión: hernia de hiatus, gastropatía inflamatoria. 
  • Videocolonoscopia (un mes atrás): diverticulosis sigmoidea. 
  • Biopsia hepática (un mes atrás): Proceso inflamatorio crónico granulomatoso con necrosis caseosa central que contiene numerosos bacilos AAR fragmentados con la coloración de ZN. Asimismo en la coloración de PAS + dentro del citoplasma de histiocitos, vinculables a especies de histoplasma. Por último se identifican numerosos elementos epitelioides con cambios citopáticos vinculables a CMV. En el resto del parénquima se observa portitis leve linfoplasmocitaria, balonización, aislada esteatosis a mediana vacuola y congestión sinusoidal. Sin evidencia de patología maligna. Conclusión: Hepatitis crónica granulomatosa con caseosis central asociada a presencia de BAAR. Histoplasmosis hepática. Coinfección por CMV.
  • Alfafeto proteina (un mes atrás): 0.90 (0.70-7.10)
  • CA 19.9 (un mes atrás): 9.80 (0.60-39) 
  • CEA 1.72 (un mes atrás): (0.20 - 3.40) 


Exámenes Complementarios: 

LABORATORIOS
 

Laboratorio:Dia 0Dia 8Dia 11Dia 15Dia 22Dia 30
Hemoglobina (g/dL)10.19.910.58.678.8
Hematocrito (%)293031252126
VCM (fl)84.687.586.885.86.688
HCM (pg)29.429.429.629.629.429.4
Gb blancos (/mm)252024504540335018004650
Neutrófilos (%)5047677656-
Eosinófilos (%)02031-
Basófilos (%)00000-
Linfocitos (%)2930181428-
Monocitos (%)181813613-
Plaquetas (/mm)204.000250.000288.000191.000165.000150.000
Glicemia (mg/dl)10599108-112107
Urea (mg/dl)264347311626
Creatinina (mg/dl)0.721.41.551.220.550.74
Sodio (mEq/l)127134126137136140
Potasio (mEq/I)3.64.85.632.773.623.68
Cloro (mEq/l)9710798111104105
Calcio (mg/dL)8.7-----
Fósforo (mg/dL)2.9-----
Magnesio (mg/dL)1.8-----
pH7.427.2727.303--7.405
pCO2 (mmHg)38.24431.6--35.7
pO2 (mmHg)53.42941.3--27.1
EB (mmol/L)0.1-6.6-9.8---2.3
HCO3 (mmol/L)24.419.915.3--21.9
SatO2 (%)87.84372.1--46.1
Ác. láctico (mmol/L)1.347---1.69
B T  (mg/dL)0.420.39-0.300.271.13
TGO (UI/L)2114-104717
TGP (UI/L)102-2107
FAL (UI/L)167252-206292299
GGT (UI/L)6188-116224228
Amilasa (UI/L)---91--
Prot. T (g/dL)-9.1---6.2
Albúmina (g/dL)-2.8---2.4
VES (mm/1° hora)120-85--99
PCR (mg/L)130-149--243.7
TP (seg)15.8---17.1-
KPTT (seg)35---40-
RIN----1.31-
  • Orina completa (Dia 0): color ambar, aspecto límpido, densidad 1029, pH 6, proteinuria 1.43 (g/l) , glucosuria no detectable, cetonuria no detectable, pigmentos biliares 1+, urobilinas 1+, hemoglobinuria 4+, hematíes 10 x campo de 400x, leucocitos 5 x campo de 400x, piocitos no se observan, células epiteliales  3 x campo de 400x , cilindros 1+. Observaciones: gérmenes
  • Índices urinarios (Dia 0): Creatinina 153 (mg/dl), Proteinuria 1.43 (g/l), Índice proteinuria/creatininuria 932. 
  • Antígeno urinario para histoplasma (Dia 1): positivo 0.45 ng/ml
  • Clostridium Difficile (Dia 11): Glutamato deshidrogenasa +.
  • Clostridium difficile PCR (Dia 11): negativo final. 
  • Criptococo en suero (Dia 11): negativo.
  • Serologías (Dia 17): VDRL VHB VHC no reactivos.
  • Frotis sangre periférica (Dia 22): GB 4500, plaquetas 180.000. 
  • Perfil férrico (Dia 23): ferremia 36 ug/dl, TIBC 148 ug/dl,  % transf 24.3%,  ferritina 1095.2 ng/ml. 
  • Ácido fólico (Dia 23): 1.44 (VN 5.39 - 20)
  • Vitamina B12 (Dia 23): 828 (VN 211 - 911)
  • Orina completa (Dia 30): color pardo, aspecto límpido, densidad 1029, pH 5.00, proteinuria 1.66 (g/l) , glucosuria ND, cetonuria 1+, pigmentos biliares 1+, urobilinas 2+, hemoglobinuria 1+, hematíes por campo de 400x 2, leucocitos x campo de 400x 3 , piocitos ND, células epiteliales por campo de 400x  5, cilindros 1-2 cilindros por campo. Observaciones: gérmenes. Índices: Cr 153, Pr 1.66 , IPC 1084.
  • Antígeno para histoplasma en orina (Dia 30): Positivo 0.38ng/ml
  • PCR CMV en suero (Dia 30): no detectable. 


CULTIVOS

  • Hemocultivos X 2 (Dia 0): negativo final. 
  • Urocultivo (Dia 0): negativo final. 
  • Coprocultivo (Dia 11): Flora con predominio de cocos Gram positivos COLORACIÓN DE GRAM No se aisla Salmonella sp., Shigella sp., Aeromonas sp., Yersinia sp., E. coli enteropatógena, E.coli enteroinvasiva ni E.coli enterohemorrágica O157:H7.Pesquisa por técnica de Jarlier: No desarrolla cepa productora de betalactamasa de espectro extendido. No se obtuvo desarrollo de enterobacteria productora de carbapenemasa. No se aísla Enterococo Vancomicina Resistente.
  • Hemocultivos x 2 (Dia 23): Negativo final
  • Retrohemocultivo (Dia 23): 1 Cocos Gram positivos a las 13.50 hs Streptococcus salivarius. S: cefotaxima vancomicina / ½ NEGATIVO FINAL
  • Hemocultivos x 2 (Dia 30): negativo en curso
  • Hemocultivo para micobacteria x2 (Dia 30): negativo en curso
  • Urocultivo (Dia 30): Enterococcus faecalis 10000 - 100000 colonias resistente a ciprofloxacina, sensible a ampicilina y nitrofurantoína


IMÁGENES

  • Ecografía abdominal (Dia 22): HÍGADO: forma y ecoestructura heterogénea. Tamaño normal. Se observa formación nodular sólida, de bordes anfractuosos, de 67 mm x 51 mm, con vascularización mixta al Doppler color, ubicada en segmento IVa / VIII, correlacionar con antecedente de la paciente. VESÍCULA: paredes finas, contenido líquido homogéneo. Alitiásica. VÍA BILIAR: de calibre conservado. PÁNCREAS: forma, tamaño, contornos y ecoestructura conservados. No se visualiza dilatación del Conducto de Wirsung. BAZO: no se observa esplenomegalia. RIÑÓN DERECHO: situación, morfología y tamaño normal. Vía excretora de calibre conservado. Ecoestructura conservada. Parénquima homogéneo. ECM conservado. No se observan imágenes de urolitiasis.  RIÑÓN IZQUIERDO: situación, morfología y tamaño normal. Vía excretora de calibre conservado. Ecoestructura conservada. Parénquima homogéneo. ECM conservado. No se observan imágenes de urolitiasis.
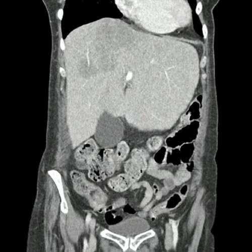
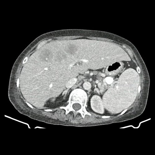
  • TAC de abdomen y pelvis CC EV - informe preeliminar (Dia 30): En esta ocasión se observa hepatomegalia. Sus bordes son agudos. Continúa visualizándose de mayor tamaño, involucrando a casi la totalidad del segmento IV, una lesión nodular, de márgenes irregulares, hipodensa, ligeramente heterogénea, subcapsular, de bordes parcialmente definidos, Mide 9 cm CC x 6.5 cm DT x 5 cm AP (antes medía 5,3 cm CC x 4 cm DT x 3,7 cm AP). Actualmente se observa otra lesión nodular adyacente a la anterior descripta, en el segmento IVa/VIII, de similares características, que mide 3.5 cm DT x 3 cm AP, y otra en segmento IVa/II que mide 3 cm CC x 1.5 cm DT x 1 cm AP. Además se destacan otras dos lesiones, con similares características que las previas descriptas en segmento II que mide 19 mm DT x 15mm AP y en segmento VI que mide 14mm DT x 17mm AP. Hallazgos que podrían corresponder a secundarismo vs proceso infeccioso. Cotejar con datos clínicos de la paciente. Múltiples estructuras ganglionares retroperitoneales, pre y lateroórticas, hiliares hepáticas y esplénicas aumentadas en número y de tamaño, destacándose, en actual estudio,  una preaórtica derecha que mide 10 mm en su eje corto. En base pulmonar derecha se observan múltiples formaciones nodulares sólidas, irregulares, que realzan de manera heterogénea tras las administración de contraste E.V, como así también se observa otra de similares características en pulmón izquierdo en contacto con pericardio, la cual es la de mayor tamaño y mide 19 mm DT x 17mm AP. Hallazgos que obligan a descartar secundarismo pulmonar. Leve derrame pleural derecho. Hallazgos no visualizados en TC previa. Esplenomegalia que muestra densidad discretamente heterogénea, con algunas zonas de hiporrefuerzo de aspecto nodular. Trombos murales y calcificaciones parietales aortoiliacas. Aisladas formaciones diverticulares en colon sigmoides, sin cambios inflamatorios al momento del examen. Pequeña hernia inguinal epiploica izquierda, sin complicaciones agudas al momento del examen. Flebolitos pelvianos. Granuloma calcificado en TCS del glúteo izquierdo que mide 14mm. No se identifican alteraciones en las estructuras óseas visualizadas. Lesión osteoblásticas en cuerpo vertebral de L2.
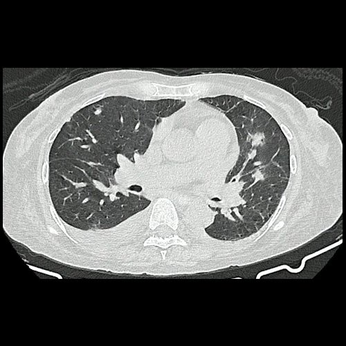
  • TAC de tórax sin contraste - informe preeliminar (Dia 31):  Estudio artefactado por movimientos respiratorios de la paciente. Se observan múltiples lesiones nodulares sólidas, irregulares, heterogéneas, que se extienden por ambos campos pulmonares a predominio derecho, de manera periférica y subpleurales, asociadas a vidrio esmerilado, destacándose la de mayor tamaño en segmento lingular inferior que mide 12 mm x 16mm. Hallazgos que podrían corresponder en primera instancia a proceso inflamatorio infeccioso sin poder descartar secundarismo. Se sugiere control evolutivo.  Hallazgos no visualizados en Tc del día 05-08-2025, si se observan en TC del día 24-09-2025. Bulla subpleural paramediastinal, de 14mm, en segmento posterior del LSI. Leve derrame pleural, en esta ocasión, bilateral, de mayor jerarquía a derecha. Múltiples estructuras ganglionares pre y lateroaórticas, axilares bilaterales aumentada en número y de tamaño, de rango no megálico. Laminar derrame pericárdico.
  • Ecocardiograma doppler (Dia 31): VI dilatado en grado leve. Disquinesia de los segmentos apicales (anterior, inferior, lateral, septal) y de los segmentos medios (anterior, anteroseptal, inferoseptal, inferior, infralateral y anterolateral). Hipermotilidad de los segmentos basales. FSVI  deprimida en graso severo. AI dilatada en grado leve. Área 23 cm2. FEVI ESTIMADA 25-30%. VD de dimensiones normales con los segmentos medios y apicales de la pared lateral e hiperquinesia de segmento basal. Índice de función sistólica deprimido (TAPSE 9mm) Strain de la pared libre del VD muy reducido 6%. Aurícula derecha de dimensiones normales. Ecogramas valvulares sin alteraciones significativas. Válvula aórtica trivalvar. Raíz aórtica de dimensiones normales. Aorta ascendente y cayado aórtico normal. Pericardio con derrame leve. Vena cava dilatada con colapso inspiratorio reducido. Válvula mitral: flujo pseudonormal. Disfunción diastólica grado II, con aumento de las presiones de llenado. Relación E/e 19. Sin reflujo. Aórtico: flujo de morfología y velocidad máxima normal. Sin reflujo. Tricuspídeo: flujo de morfología y velocidad máxima normal. Reflujo leve que permite estimar una PSAP de 45 mmHg. Pulmonar: flujo de morfología y velocidad máxima sin reflujo.  Conclusiones: los hallazgos imagenológicos sugieren miocardiopatía de Takotsubo en primera instancia (por trastorno de la contractilidad parietal que se extiende más allá del territorio de irrigación de una arteria coronaria) con compromiso que afecta no solo del ventrículo izquierdo sino además el derecho. 
  • Electrocardiograma 12 derivaciones (Día 1): Ritmo sinusal, regular. Sin signos de isquemia, ni arritmias agudas. 
  • Electrocardiograma 12 derivaciones (Dia 31): Ritmo sinusal, FC: 107 lpm, PR: 0.12; QRS: 0.08; QTc: 0.534; AQRS: 0° T negativas de ramas simétricas en cara anterior extensa.


Evolución:

Cursa internación para realizar tratamiento de lesión hepática compatible con tuberculoma diagnosticado por biopsia (presencia de BAAR y caseum) asociado a coinfección local con histoplasmosis y citomegalovirus (CMV).  Al ingreso se indica cuádruple asociación de antibacilares de primera línea y anfotericina B liposomal. Hacia el día 9 de forma interdisciplinaria se agrega ganciclovir al esquema, dirigido a CMV informado en la biopsia. El día 14 se rota anfotericina B liposomal a itraconazol vía oral. 

Durante el día 15 intercurre con rash cutáneo generalizado pruriginoso, a predominio de región facial, tronco, dorso y miembros inferiores. Se realiza interconsulta con el Servicio de Dermatología, acordando inicio de corticoterapia vía oral con prednisona y ante la falta de respuesta, en conjunto con el Servicio de Infectología se suspenden antirretrovirales y antibacilares de primera línea.  

En el día 22, ante la resolución completa del rash, se reinician antibacilares de forma escalonada inicialmente con rifampicina. En el día 26 se agrega etambutol al esquema. 

Durante la internación, evoluciona estable hemodinámicamente, con 1 a 2 registros febriles diarios que cede con paracetamol. 

El día 29 de internación presenta un registro febril sostenido que cede tras la indicación de varios  antitérmicos diferentes. Posteriormente agrega registro hipotensivo que revierte con fluidoterapia endovenosa. En conjunto con el Servicio de infectología se decide ampliar esquema antibacilar con fármacos de segunda línea con levofloxacina y meropenem, cubrir gérmenes intrahospitalarios agregando además vancomicina, rotar nuevamente a anfotericina B liposomal y cubrir CMV con valganciclovir. Se toman nuevos hemocultivos, que persisten negativos, suspendiéndose vancomicina a las 48 hs, se solicita nueva PCR para CMV con resultado negativo y Ag urinario para histoplasmosis positivo. 

Por presentar persistencia de dolor abdominal inespecífico, se solicita tomografía con contraste la cual informa hepatomegalia concordante con palpación abdominal (5 traveses de dedo por debajo del reborde costal), aumento de tamaño de lesión hepática previa y nuevas lesiones asociadas. En la tomografía de tórax se visualiza la presencia de nuevas imágenes nodulares sólidas, irregulares y heterogéneas distribuidas en ambos campos pulmonares. 

En el día 30 por presentar dolor de pecho de características atípicas y disnea, alteraciones electrocardiográficas (T negativas en derivaciones precordiales: V2 a V6) y ecocardiograma alterado con fracción de eyección global deprimida en grado severo y hallazgos imagenológicos sugerentes de miocardiopatía de Takotsubo, fue evaluada por el Servicio de Cardiología quienes inician tratamiento con furosemida y balance hídrico negativo, con buena respuesta. 


Otras intercurrencias que presentó durante la internación: 

  • Pancitopenia. Fue evaluada por Servicio de Hematología, quienes realizan frotis en sangre periférica constatando recuento de plaquetas y glóbulos blancos normales. Anemia normocítica – normocrómica que requirió de forma aislada transfusión de 1 unidad de glóbulos rojos. Déficit de ácido fólico por lo que se inicia reposición vía oral. 
  • Diarrea con estrías sanguinolenta que se autolimita. Se solicitó estudio para Clostridium difficile en materia fecal, con presencia de Glutamato deshidrogenasa positiva y PCR para toxinas negativas, por lo que no se realizó tratamiento. 
  • Hipokalemia asintomática, sin cambios electrocardiográficos. Se realizaron aportes de potasio endovenoso y vía oral. 
  • Falla renal aguda con buena respuesta a fluidoterapia. 


Pendientes: 

  • Resultado de hemocultivos para gérmenes comunes y micobacterias
  • Evolucion clinica, analitica e imagenológica a antituberculoso de segunda línea
  • Seguimiento por Servicio de Cardiología, Gastroenterología e Infectología. 
  • Eventual inicio de terapia antirretroviral
  • Evaluar necesidad de nueva biopsia hepática 


 

Se presenta el caso de una paciente con antecedente de HIV diagnosticado hace más de 30 años, con control regular de su enfermedad. Presentó una internación previa en el año 2023 por debut de insuficiencia cardíaca con FEY disminuída (40%) con sospecha de etiología asociada a HIV (miocardiopatía dilatada) por cardiorresonancia de ese mismo año. Actualmente cursa internación para estudio de síndrome constitucional de más de 3 meses de evolución, con resultado de biopsia hepática hace 1 mes que informó proceso granulomatoso crónico con hallazgo de múltiples bacilos ácido-alcohol resistentes fragmentados, especias de Histoplasma Capsulatum e inclusiones intranucleares con cambios citopáticos vinculables a Citomegalovirus. Durante la misma intercurre con episodio de insuficiencia cardíaca con hallazgo ecográfico altamente sugestivo de Síndrome de Takotsubo.

La discusión del mismo fue planteada con el objetivo de responder las preguntas actuales que el equipo tratante debe resolver para modificar el curso de la evolución de nuestra paciente. Analizando lo previamente mencionado, se confirma por evidencia previa en la bibliografía que los 3 microorganismos pueden ser causales de la enfermedad granulomatosa hepática, aunque no es posible asumir qué grado de afectación produce cada uno de ellos. De esta forma se describen las características principales de la tuberculosis hepática así como también de otras micobacterias no tuberculosas, el compromiso hepático en histoplasmosis diseminada y el daño hepático por citomegalovirus. Durante la internación hasta el día de la discusión del seminario, se realizó el siguiente tratamiento:

- cuádruple asociación antibacilar por 16 días luego suspendido por farmacodermia
- anfotericina B por 14 días + itraconazol por 15 días
- ganciclovir por 14 días
- terapia antirretroviral por 10 días luego suspendido por farmacodermia

La paciente evolucionó persistentemente febril con empeoramiento radiológico tras la aparición de nuevas lesiones hepáticas con aumento de tamaño de las previas y además la presencia de nódulos pulmonares bilaterales. A punto de partida de esta tórpida evolución se plantean los interrogantes principales de la discusión:

1. El tratamiento que se encuentra realizando es inefectivo ¿Por qué causa?
a. Otro microorganismo causal
b. Interacciones medicamentosas
c. Falta de tiempo terapéutico
d. Requerimiento de drenaje quirúrgico
2. Síndrome de reconstitución inmune
Además de las complicaciones farmacológicas previamente descriptas, se describe en esta paciente pancitopenia asociada a su enfermedad de base sin poder descartar otras múltiples posibles etiologías (infiltración de médula ósea por infecciones oportunistas, efectos adversos farmacológicos, etcétera) y también el compromiso cardiológico remarcando el aumento del riesgo de miocarditis y miocardiopatía dilata así como también aterosclerosis coronaria.
Se realizó una amplia revisión de la literatura para responder estos interrogantes y proponer una propuesta terapéutica tanto farmacológica como de manejo integral de nuestra paciente y las patologías que la aquejan.

No hay información de la evolución.

TAC de abdomen y pelvis (internación previa)

TAC de abdomen y pelvis (internación previa)

TAC de tórax (internación previa)

TAC de tórax (internación previa)

Radiografía de tórax  (Dia 1)

Radiografía de tórax (Dia 1)

TAC de abdomen y pelvis (Dia 30)

TAC de abdomen y pelvis (Dia 30)

TAC de tórax (Dia 31)

TAC de tórax (Dia 31)

Ecocardiograma (Dia 31)

Ecocardiograma (Dia 31)

ECG (día 31)

ECG (día 31)

Exantema (Dia 15)

Exantema (Dia 15)