Enfermedad actual:
Mujer de 59 años que consulta a la guardia, acompañada por familiares, por cuadro de 15 días de evolución asociado a registros febriles, astenia, mialgias y dolor abdominal difuso.
Por mal estado general e hipotensión, es derivada a la unidad de terapia intensiva, donde cursó internación por 72 hs, por shock séptico con sospecha de foco abdominal/pelviano por lo que realizó antibioticoterapia empírica con vancomicina y piperacilina-tazobactam durante 3 días que se dirige con ceftriaxona a aislamiento de Streptococcus agalactiae en 2 hemocultivos. Requirió vasopresores durante 24 hs.
En dicha unidad se realizó tomografía con hallazgo de lesiones hipodensas en ambos riñones (descritas como probable origen inflamatorio-infeccioso), líquido libre periuterino con reticulación de grasa locorregional. Por hallazgo de hematometra se solicita interconsulta a Servicio de Ginecología, quienes descartan conducta quirúrgica de urgencia.
Asociado presentó como hallazgo derrame pericárdico severo (23 mm circunferencial) sin evidencia de compromiso hemodinámico ni signos de taponamiento con conducta expectante.
Por buena evolución clínica y analítica se decide continuar su internación en sala general.
Antecedentes personales:
Antecedentes familiares:
Madre: Diabetes tipo 2, hipertensión arterial, hipotiroidismo.
Hijos/as: Sanos.
Examen físico: (realizado en sala general)
Exámenes Complementarios:
| Laboratorio: | DÍA 0 | DÍA 3 | DÍA 6 | DÍA 13 |
| Hemoglobina (g/dL) | 10.7 | 8.4 | 9.8 | 9.1 |
| Hematocrito (%) | 33 | 26 | 31 | 29 |
| VCM (fl) | 94.0 | 94.1 | 96.2 | - |
| HCM (pg) | 30.5 | 30.8 | 30.8 | - |
| Glóbulos blancos (/mm) | 19710 | 16660 | 13950 | 5200 |
| Neutrófilos (%) | - | 85 | 81 | 78 |
| Eosinófilos (%) | - | 0 | 0 | 1 |
| Basófilos (%) | - | 0 | 0 | 0 |
| Linfocitos (%) | - | 7 | 8 | 14 |
| Monocitos (%) | - | 4 | 4 | 7 |
| Plaquetas (/mm) | 244000 | 240000 | 150000 | 213000 |
| Glicemia (mg/dl) | 569 | 103 | 230 | 77 |
| Urea (mg/dl) | 72 | 69 | 44 | 23 |
| Creatinina (mg/dl) | 0.75 | 0.56 | 0.38 | 0.31 |
| Sodio (mEq/l) | 126 | 136 | 134 | 132 |
| Potasio (mEq/I) | 5.54 | 4.97 | 4.66 | 3.67 |
| Cloro (mEq/l) | 86 | 104 | 104 | 101 |
| Calcio (mg/dL) | - | 7.7 | - | 7.4 |
| Fósforo (mg/dL) | - | 4.2 | - | 3.1 |
| Magnesio (mg/dL) | - | 2.0 | - | 1.5 |
| pH | 7.34 | 7.38 | - | 7.38 |
| pCO2 (mmHg) | 40.2 | 25.8 | - | 39.7 |
| pO2 (mmHg) | 17.9 | 84.2 | - | 73.7 |
| Exceso de base (mmol/L) | -4.0 | -8.1 | - | -1.5 |
| HCO3 (mmol/L) | 21.4 | 15 | - | 23.1 |
| SatO2 (%) | 15.6 | 95.8 | - | 95.3 |
| Ácido láctico (mmol/L) | 1.67 | 4.46 | - | 2.46 |
| Bilirrubina total (mg/dL) | 0.83 | 1.71 | 0.62 | 0.36 |
| TGO (UI/L) | 43 | - | 177 | - |
| TGP (UI/L) | 40 | - | 109 | - |
| FAL (UI/L) | 190 | - | 236 | - |
| GGT (UI/L) | 117 | - | 154 | - |
| Colinesterasa sérica (UI/L) | - | - | 108 | - |
| Amilasa (UI/L) | 48 | - | - | - |
| Proteínas totales (g/dL) | - | - | 5.9 | 5.4 |
| Albúmina (g/dL) | - | - | 2.3 | - |
| CPK (UI/L) | 68 | - | - | - |
| LDH (UI/L) | 221 | - | - | 282 |
| VES (mm/1° hora) | - | 71 | - | - |
| PCR (mg/L) | 363.4 | 170 | - | - |
| TP (seg) | 16.3 | - | 18.8 | - |
| KPTT (seg) | 30 | - | 29 | - |
LABORATORIOS:
CULTIVOS:
IMÁGENES:
Evolución:
Cursó internación en sala general por 6 días, afebril, hemodinámicamente estable, con ritmo diurético adecuado, persistiendo taquicardia y progresión de edemas en miembros inferiores y superiores. Continuando con tratamiento con ceftriaxona dirigida a bacteriemia con aislamiento de S. agalactiae.
El Servicio de Ginecología llevó a cabo una evaluación ginecológica, constatándose la ausencia de colección hemática intrauterina.
Por sospecha de melena durante la internación fue evaluada por el Servicio de Gastroenterología. Inicialmente se realizó tratamiento con inhibidores de bomba de protones y por alto riesgo quirúrgico, encontrarse estable hemodinámicamente y con mejoría de hemoglobina y hematocrito se decide posponer la videoendoscopia digestiva alta.
Además, se realizó ecocardiograma de control el día 9, donde persistía el derrame pericárdico severo asociado a engrosamiento del mismo con presencia de vegetaciones en válvulas pulmonar y tricuspídea, dilatación severa de cavidades derechas y disfunción de ventrículo homolateral. Por dicho motivo, se solicitó un angiotomografía de tórax con protocolo para tromboembolismo pulmonar confirmándose el mismo, por lo que se encuentra anticoagulada con enoxaparina.
Se solicitaron nuevos hemocultivos, evaluación por el Servicio de Cardiología y se decidió su paso de Unidad de Cuidados Intermedios.
El DÍA 11 el Servicio de Cirugía Vascular realizó una pericardiocentesis con colocación de drenaje pericárdico y toma de cultivos, evidenciándose la presencia de exudado purulento. Se amplió esquema terapéutico con caspofungina por presencia de Candida tropicalis en hemocultivos.
Durante el DÍA 12, por inestabilidad hemodinámica en contexto de endocarditis infecciosa aguda de válvula tricúspide y pulmonar nativa asociado a derrame pericárdico severo, se decide su pase a unidad de terapia intensiva. Se le realiza ecocardiograma transesofágico, constatando las vegetaciones visualizadas previamente y presencia de un absceso en anillo tricuspídeo. Asimismo, se encuentra en discusión la conducta quirúrgica debido al elevado riesgo de la paciente, debiendo ser reevaluada por equipo de cirugía cardiovascular a los 7 días de la interconsulta (aproximadamente día 20 de internación).
Como complicaciones presentó insuficiencia cardiaca global por lo cual realizó balances negativos con diuréticos de asa. Además, por presencia de derrame pleural de escasa cuantía se realiza toracocentesis diagnóstica con líquido con características de exudado y toma de cultivos.
Por encontrarse estable hemodinámicamente, afebril y con buen ritmo diurético se decide nuevamente su paso a sala general el día 13 de internación.
Pendientes:
Discutimos el caso de una paciente mujer de 59 años con shock séptico y derrame pericárdico.
En primera instancia, planteando el estudio del derrame pericárdico, tenemos que tener en cuenta diferentes factores: impacto hemodinámico, tamaño, tiempo de evolución y composición del derrame. Todo esto es para llegar al diagnóstico etiológico del mismo. Cabe mencionar que la evidencia plantea que se debe realizar el análisis del líquido pericárdico en: sospecha de pericarditis purulenta, tuberculosa o neoplásica, taponamiento cardiaco y derrame severo que no responden a antiinflamatorios.
Contextualizando a la paciente que tiene un derrame pericárdico sin impacto hemodinámico, asintomática, severo, agudo. En el estudio ecocardiográfico, inicialmente del día 2 hacia el día 9, cambia de características, siendo informado como marcadamente engrosado, con fibrina, impresiona contenido denso. Se realiza pericardiocentesis con material macroscópicamente purulento. A su vez, se visualizan múltiples vegetaciones en válvula tricúspide y pulmonar. Por lo que interpretamos que la paciente tiene el diagnóstico de una endocarditis infecciosa (EI).
Si hablamos EI, en 2023, la Sociedad Europea de Cardiología plantea la modificación de los criterios de Duke, para aumentar la sensibilidad (70-80 a 85-95) el diagnóstico por incluir otras imágenes a los criterios, ampliar los microorganismos considerados como típicos, manteniendo alta especificidad. Esto nos permite que aumente el crédito en el diagnóstico de las prótesis, en asociación a a dispositivos y hemocultivos negativos ya que tiene en cuenta pruebas moleculares.
Aun así, se mantienen los criterios clínicos, los cuales son dirigidos al diagnóstico de la endocarditis izquierda, conociendo que la endocarditis derecha puede darnos menor sintomatología, retrasando o dificultando el diagnóstico.
Para hablar de EI derecha, es necesario realizar una discusión apartada: corresponden a 5-10% de las EI. Dentro de los factores de riesgos se deben considerar: dispositivos intracardiacos, catéter venosos, usuarios de droga intravenosa y cardiopatías congénitas. Nuestra paciente no presenta ninguno de estos factores de riesgo. La principal causa se mantiene en Staphylococcus aureus, aunque ahora se encuentra en aumento la incidencia de otros gérmenes como estreptococos, en este caso el Streptococcus agalactiae
La EI derecha suele ser menos invasiva que la EI izquierda, atribuyendo esto a que la presión intracardiaca, ya que las cavidades con presiones más altas tienen más predisposición a causar abscesos y destrucción tisular. Además, éstas eran grandes como consecuencia de la menor presión ejercida por las cámaras cardiacas derechas, que permite que las vegetaciones crezcan más que en el lado izquierdo.
Clínicamente se puede presentar con episodios febriles, embolias sépticas con abscesos pulmonares, insuficiencia cardiaca derecha, embolia sistémica (rara, se da si hay compromiso izquierdo o embolismo paradójico), entre otras.
El hecho de que la clínica sea diferente a la endocarditis derecha, que pueda presentarse con síntomas respiratorios o TEP, sin soplos, hace que sea más difícil arribar al diagnóstico o que exista un subdiagnóstico. Además, como en la ecocardiografía puede ser más difícil de evaluar las válvulas derechas, en numerosas ocasiones, es necesaria la ecocardiografía transesofágica.
Si hablamos de los aislamientos microbiológicos de los pacientes, inicialmente el Streptococcus del grupo B (GBS) produce un amplio espectro de enfermedad clínica, actualmente con incremento en número y gravedad de los casos de enfermedades invasivas. La endocarditis infecciosa por GBS es una enfermedad grave y poco frecuente, con características clínicas similares a la EI por Staphylococcus aureus. Tradicionalmente, recomendaron agregar gentamicina a la penicilina o ceftriaxona durante al menos 2 semanas del esquema antibiótico. Sin embargo, no hay evidencia clínica que demuestre superioridad de la terapia combinada respecto a la monoterapia con betalactámicos, y si aumento de la morbimortalidad. La paciente, durante la internación, fue tratada con ceftriaxona dirigida al aislamiento de Streptococcus agalactiae.
Por otra parte, se aísla la candida tropicalis en hemocultivos: la candida tropicalis en EI corresponde al 10-13% de las endocarditis fúngicas. Dentro de los factores de riesgo tenemos: inmunodepresion, cateteres endovasculares, valvular protesicas, sexo masculino.
Los hemocultivos positivos tienen una sensibilidad imperfecta (21%–71%).
El tratamiento de la endocarditis por Candida suele implicar un enfoque combinado de terapia antifúngica e intervención quirúrgica: la terapia antifúngica de elección son las equinocandinas, ya que tiene mejor perfil de seguridad global (menor nefrotoxicidad) y eficacia similar a las preparaciones de anfotericina B en candidemia y candidiasis. Muestran mayor actividad in vitro contra biopelículas de Candida. Estudios recientes plantean que las altas dosis de equinocandinas tienen mejor pronóstico en el tratamiento de infecciones graves. Al recibir el informe de dicho aislamiento, la paciente inicia tratamiento con caspofungina.
Expertos plantean el uso de biterapia, asociando equinocandinas con azoles, sin embargo, no existe evidencia de mejor pronóstico. Cabe destacar de igual manera que en general los pacientes con endocarditis fúngica, al finalizar el tratamiento endovenoso, se mantiene terapia fúngica supresora crónica.
En cuanto a la anticoagulación en EI, no debe iniciarse sólo por el diagnóstico de endocarditis por el alto riesgo de sangrado en sistema nervioso central por embolias, especialmente en EI izquierda. En endocarditis derecha con embolias pulmonares sépticas, la estrategia más respaldada es antibióticos prolongados asociado cirugía si corresponde, reservando anticoagulación para situaciones puntuales. En este caso, por presentar defecto de relleno endoluminal parcial en el tronco de la arteria pulmonar, en relación a tromboembolismo pulmonar justifico el tratamiento anticoagulante.
Los criterios quirúrgicos por EI izquierda (insuficiencia cardiaca aguda grave aórtica o mitral, infección localmente avanzada, infección por gérmenes de alta virulencia, vegetaciones persistentes, vegetaciones >10mm), difieren de la endocarditis derecha, los cuales son:
Teniendo en cuenta lo discutido, el equipo médico tratando coincide en la necesidad de la intervención quirúrgica en este caso. La pregunta más importante a plantearse es: ¿cuándo realizar la cirugía?
Existen indicaciones para realizar de urgencia o emergencia.
En un metaanálisis se plantea que la cirugía precoz disminuye la mortalidad tanto hospitalaria como a largo plazo, especialmente en válvulas nativas. Sin embargo, la principal limitación es la heterogeneidad en el tiempo que se considera cirugía precoz.
Otro estudio plantea que la cirugía temprana puede prevenir complicaciones como embolias sistémicas o progresión del daño valvular, aun no existiendo consenso sobre el momento óptimo para intervenir. Si hay una indicación clara, la cirugía no debería demorarse innecesariamente.
En este caso estaba planificado el tratamiento quirúrgico. La paciente se encuentra en situación crítica con múltiples factores de alto riesgo y mal pronóstico, por ello dada la situación actual de la misma se evalúa optimizar estabilidad clínica y planificar la cirugía a la brevedad.
Durante la internación en sala general la paciente se mantuvo estable, hasta el dia 18 de internación donde por disminución del ritmo diurético y registros hipotensivos, compatible con parámetros de shock se decidió su pase a unidad coronaria, donde requirió uso de dobutamina y noradrenalina, con monitoreo estricto. Se realizó nuevo ecocardio donde destaca disfunción severa del ventrículo derecho.
El día 23 de internación se llevó a cabo cirugía cardiovascular. La misma requirió de bomba de circulación extracorpórea. Durante la intervención se drenó material purulento pericárdico, se observó el absceso de anillo tricuspídeo realizando drenaje del mismo, sin daño de válvula tricuspídeo, con lo cual se realizó plástica de la misma. La válvula pulmonar tenía una vegetación de gran tamaño y una perforación, por lo cual se procedió al reemplazo de la misma. Se realizó una primera inspección con ecocardiografía transesofágica intraoperatoria, donde se observó resultado exitoso de los procedimientos realizados.
A pesar de los esfuerzos realizados, la paciente continuó con requerimiento de alta dosis de inotrópicos y no pudo desvincularse a la bomba de circulación extracorpórea, falleciendo en quirófano.

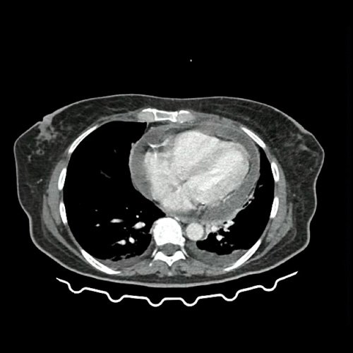
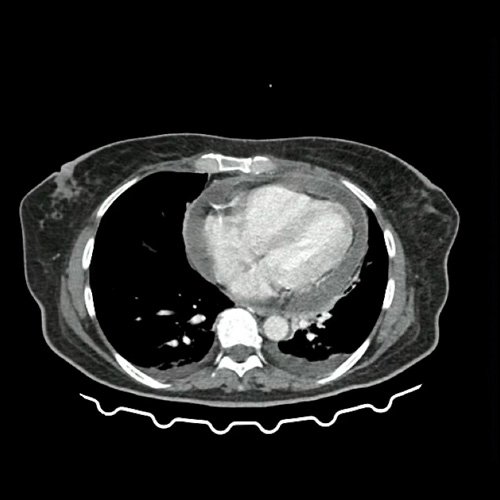
Anexo 1: TAC de tórax con contraste, corte axial. DÍA 0 06/09/2025

Anexo 2: TAC de pelvis con contraste, corte axial. DÍA 0 06/09/2025

Anexo 3: Ecocardiograma transtorácico DÍA 9

Anexo 4: Ecocardiograma transesofágico DÍA 12

Material trombótico extraído asociado a válvula pulmonar